Latest Updates
-
ராகி பூரியும்.. வெங்காய மசாலாவும்.. - 15 நிமிடத்தில் எப்படி செய்றது-ன்னு பாத்து ட்ரை பண்ணுங்க.. -
இன்றைய ராசிபலன் 18 மார்ச் 2026: இன்று இந்த 4 ராசிக்காரங்களுக்கு கெட்ட நேரம் தேடிவரும் நாளாக இருக்குமாம்...! -
குரு-புதன் உருவாக்கும் அரிய ராஜயோகம்: ஏப்ரல் முதல் வாரத்தில் இந்த 3 ராசிக்கு ஜாக்பாட் அடிக்கும்.. -
சனி-சூரியன்-சந்திரன் மீன ராசியில் இணைவதால் இந்த 3 ராசிக்காரங்க இருமடங்கு துரதிர்ஷ்டத்தை அனுபவிக்கப்போறாங்களாம் -
73 வயதிலும் முதல்வர் மு.க.ஸ்டாலின் ஃபிட்டாக இருப்பதன் ரகசியம் இதாங்க.. நீங்களும் தெரிஞ்சுக்கோங்க... -
முட்டைக்கோஸை வழக்கமான பொரியல் செய்யாம இந்த மாதிரி பொரியல் செய்யுங்க... வித்தியாசமா சூப்பரா இருக்கும்...! -
அரசியல்வாதிகள் ஏன் எப்போதும் வெள்ளை சட்டை மட்டுமே அணிகிறார்கள் தெரியுமா? இதுல இவ்வளவு விஷயம் இருக்கா? -
பன்னீரை எப்பவும் ஒரே மாதிரி செய்யாம.. ஒருவாட்டி பன்னீர் கீமா மசாலா செய்யுங்க.. சப்பாத்திக்கு அள்ளும்.. -
பிராமின் ஸ்டைல் வெஜ் குருமா ரெசிபி... ஈஸியா இப்படி செய்யுங்க... சப்பாத்தி, பூரிக்கு டக்கரா இருக்கும்...! -
மீன ராசியில் நடக்கும் புதன் பெயர்ச்சி: ஏப்ரலில் இந்த 4 ராசிக்காரங்க தொழிலில் கொடிகட்டி பறக்கப்போறாங்க...
நீங்கள் உடனே பல் மருத்துவரை சந்திக்க வேண்டும் என்பதை உணர்த்தும் சில அறிகுறிகள்!
உண்ணும் உணவுகளில் கவனமாக இருப்பதோடு மட்டுமின்றி, வாயில் ஒருசில பிரச்சனைகளை சந்தித்தால், அது உடனே பல் மருத்துவரை சந்திக்க வேண்டியதற்கான அறிகுறி என்பதையும் ஒவ்வொருவரும் தெரிந்து வைத்திருக்க வேண்டும்.
ஒருவருக்கு வாய் ஆரோக்கியம் மிகவும் முக்கியமானது. வாய் ஆரோக்கியமாக இருந்தாலே பல கிருமிகள் உடலைத் தாக்குவதைத் தவிர்க்கலாம். வாய் ஆரோக்கியமாக இருக்க வேண்டுமானால், ஆறு மாதத்திற்கு ஒருமுறை பல் மருத்துவரை தவறாமல் சந்தித்து சோதித்துக் கொள்ள வேண்டும். சில சமயங்களில் வருடத்திற்கு இரண்டு முறை பல் மருத்துவரிடமும், தினமும் இரண்டு முறை பற்களைத் துலக்குவதாலும் மற்றும் பற்களுக்கு போதுமான பராமரிப்புக்களைக் கொடுப்பது மட்டும் போதாது.

ஒருவரது வாயில் பிரச்சனைகள் விரைவில் ஏற்படக்கூடும். இதற்கு காரணம் உணவுகள் தான். எனவே உண்ணும் உணவுகளில் கவனமாக இருப்பதோடு மட்டுமின்றி, வாயில் ஒருசில பிரச்சனைகளை சந்தித்தால், அது உடனே பல் மருத்துவரை சந்திக்க வேண்டியதற்கான அறிகுறி என்பதையும் ஒவ்வொருவரும் தெரிந்து வைத்திருக்க வேண்டும். இக்கட்டுரையில் அந்த அறிகுறிகள் தான் கொடுக்கப்பட்டுள்ளன.

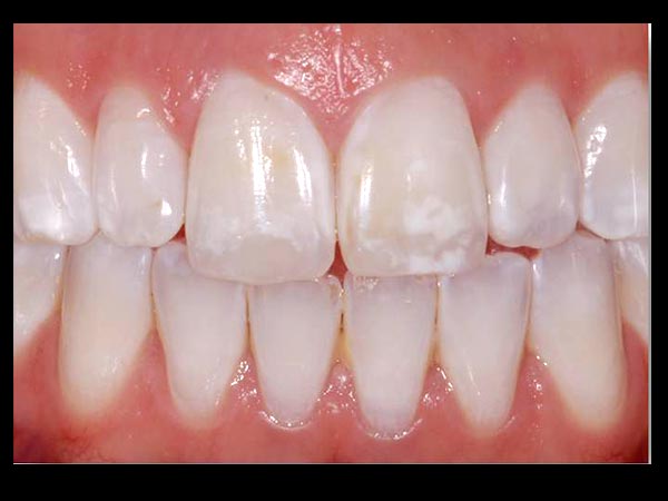
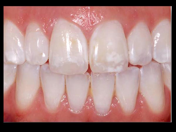
வெள்ளைப் புள்ளிகள்
உங்கள் பற்களில் வெள்ளைப் புள்ளிகள் தென்படுகிறதா? வாயில் உள்ள பாக்டீரியாக்கள் உற்பத்தி செய்யும் அமிலங்கள், பல் எனாமலைக் கரையச் செய்து, பற்களை சொத்தையாக்கும். பற்களில் உள்ள எனாமல் குறைந்தால் தான் வெள்ளைப் புள்ளிகள் தோன்றும். சில சமயங்களில் இந்த வெள்ளைப் புள்ளிகள் இரண்டு பற்களுக்கு இடையில் தோன்றும். ஆனால் அது நமக்கு தெரியாது. எனவே நீங்கள் உங்கள் பற்களில் லேசாக வெள்ளைப் புள்ளிகள் தென்பட்டால் உடனே பல் மருத்துவரை சந்தியுங்கள்.

பல் வலி
சூடான அல்லது குளிர்ச்சியான பானங்களைக் குடிக்கும் போது, பற்களில் கூச்சம் மற்றும் வலியை சந்தித்தால், அது உடனே பல் மருத்துவரை சந்திக்க வேண்டியதற்கான முக்கிய அறிகுறியாகும். ஆரம்பத்திலேயே இந்த அறிகுறிகளை கண்டுகொள்ளாமல் விட்டுவிட்டால், பின் பல் வலி தீவிரமாவதோடு, ஈறுகளில் வீக்கம் ஏற்படும்.

பற்களின் தோற்றத்தில் மாற்றம்
கட்டிகள், சிவப்பு படலங்கள் அல்லது வேறு ஏதேனும் நிறத்தில் அல்லது வடிவில் பற்கள் காணப்பட்டால், சற்றும் தாமதிக்காமல் மருத்துவரை அணுக வேண்டும். இதை சாதாரணமாக விட்டால், பெரிய பிரச்சனையை ஏற்படுத்தி, பின் ரூட் கேனல் வரை கொண்டு செல்லும். எனவே எச்சரிக்கையுடன் இருங்கள்.

ஈறுகளில் இரத்தக்கசிவு
பற்களைத் துலக்கும் போது, உங்கள் ஈறுகளில் இரத்தக்கசிவு ஏற்படுகிறதா? அப்படியானால் உங்கள் பல் மருத்துவரை சந்திக்க வேண்டிய தருணத்தை தான் அது குறிக்கிறது. பல் மருத்துவரை உடனே சந்தித்தால், ஈறுகளில் உள்ள நோய்களைத் தவிர்ப்பதோடு, தீவிர வலி மற்றும் வீக்கத்தையும் தடுக்கலாம்.

தாடை வலி
ஒருவருக்கு தாடையில் வலி ஏற்பட்டால், அது தீவிரமான பல் வலியின் அறிகுறியாகும். தாடையில் வலி ஏற்படுவதற்கான மற்றொரு காரணங்களாவன சைனஸ் பிரச்சனை, பற்களை கொறிப்பது போன்றவைகளும் தான். எனவே தாடையில் ஒரு நாளைக்கு மேல் வலி இருந்தால், சற்றும் தாமதிக்காமல் உடனே மருத்துவரை அணுகுங்கள்.

குளிர்ச்சியான மற்றும் சூடான பானங்களுக்கு உணர்திறன்
பல் சொத்தையாக இருந்தால், சூடான மற்றும் குளிர்ச்சியான பானங்களைப் பருகும் போது கூச்சமாக இருக்கும். பற்கள் சொத்தையாகும் போது முதலில் பற்களின் மேல் பகுதி பாதிக்கப்படும். அதன் பின் பற்களின் மையப் பகுதி பாதிக்கப்படும். எப்போது இந்த பாதிப்பு பற்களின் வேர் மற்றும இரத்த நாளங்களை அடைகிறதோ, அப்போது தான் சூடான மற்றும் குளிர்ச்சியான பானங்களை குடிக்கும் போது வலியை சந்திக்க நேரிடுகிறது.

வாய் புண்
அனைத்து வாய் புண்களும் புற்றுநோய் புண்கள் மற்றும் குளிர் புண்கள் அல்ல. வாய் புண்கள் இரண்டு நாட்களில் குணமாகாமல் இருந்தால், அது வைரஸ், பூஞ்சை அல்லது இதர தொற்றுக்களின் அறிகுறியாகும். அதுவும் உங்கள் கன்னங்கள், ஈறுகள் அல்லது நாக்கில் ஏற்படும் புண்கள் வெண்படல புண்ணாக இருக்கலாம்.

வாய் துர்நாற்றம்
நீங்கள் எதையேனும் சாப்பிட்ட அல்லது குடித்த பின் வாயில் இருந்து துர்நாற்றம் வீசினால் அச்சம் கொள்ள வேண்டாம். ஆனால் உங்கள் வாய் துர்நாற்றம் பல மாதங்களாக இருந்தால், அது ஈறு நோய்கள் அல்லது வேறு சில தீவிரமான பிரச்சனையாகவும் இருக்கலாம். இந்நிலையில் உடனே மருத்துவரை அணுக வேண்டியது அவசியம்.



Click it and Unblock the Notifications











