Latest Updates
-
தமிழ்நாட்டில் உள்ள சர்க்கரை நோயை குணப்படுத்தும் 1,300 ஆண்டுகள் பழமையான இந்த கோயில் பற்றி தெரியுமா? -
1 கப் ரவை இருந்தா.. ஈவ்னிங் கண்டிப்பா இந்த ஸ்நாக்ஸை ட்ரை பண்ணுங்க.. செமயா இருக்கும்.. -
1 வருடம் கழித்து மீனம் செல்லும் சூரியன்: மார்ச் 15 முதல் இந்த 4 ராசிக்காரங்க எச்சரிக்கையா இருக்கணும்.. -
கல்யாண வீட்டு தஞ்சை வத்தக்குழம்பு - எப்படி செய்றது-ன்னு பாத்து செஞ்சு பாருங்க.. டேஸ்ட் அள்ளும்.. -
World Kidney Day 2026: சிறுநீரகங்கள் ஆரோக்கியமா இருக்கணுமா? அப்ப டாக்டர் சொல்ற இந்த 5 உணவுகளை சாப்பிடுங்க.. -
ராகு-கேதுவால் உருவாகியுள்ள கால சர்ப்ப யோகம்: இந்த 3 ராசிக்கு மார்ச் 26 வரை வெற்றியும், பணமும் குவியப்போகுது... -
இந்த கஞ்சியை தினமும் காலையில் 1 கப் குடிங்க.. உடல் எடை ஜெட் வேகத்தில் குறையும்... -
இன்றைய ராசிபலன் 10 மார்ச் 2026: இன்று இந்த 4 ராசிக்காரர்களுக்கு துரதிர்ஷ்டம் துரத்தும் நாளாக இருக்குமாம்...! -
மீனத்தில் உருவாகும் திரிகிரக யோகம்: தனுசு உள்ளிட்ட 3 ராசிக்கு தொழிலில் நல்ல முன்னேற்றம் ஏற்படும்... -
முடி அதிகமா கொட்டுதா? அப்ப தேங்காய் எண்ணெயுடன் இந்த எண்ணெயை சேர்த்து யூஸ் பண்ணுங்க..
உங்கள் வாயில் ஏற்படும் பிரச்சனைகள் உங்களிடம் சொல்ல முயலும் 8 விஷயங்கள்!
ஒவ்வொருவரும் தங்கள் வாழ்நாளில் ஒருமுறையாவது பல் வலி, ஈறுகளில் இரத்தக்கசிவு, பல் கூச்சம், சொத்தைப் பற்கள் போன்றவற்றை சந்தித்திருப்போம்.
சரி, இந்த பிரச்சனைகள் வருவதற்கு என்ன காரணம் தெரியுமா? அனைத்திற்கும் நம் தவறான பழக்கவழக்கங்கள் தான் காரணம்.
உங்கள் வாயில் ஏதேனும் பிரச்சனை வாரக்கணக்கில் இருந்தால், அது உங்களிடம் ஒரு விஷயத்தை சொல்ல நினைக்கிறது என்று அர்த்தம். எனவே ஒவ்வொருவரும் தங்கள் வாயில் ஏற்படும் பிரச்சனைகளை சாதாரணமாக எண்ணாமல் அக்கறை காட்ட வேண்டும்.
இங்கு உங்கள் பற்கள் அல்லது வாய் உங்களிடம் சொல்ல முயலும் சில விஷயங்கள் கொடுக்கப்பட்டுள்ளது. அதைக் கொஞ்சம் படித்துப் பாருங்கள்.

கூர்மையான பல் வலி
உங்களுக்கு திடீரென்று ஒன்று அல்லது அதற்கு மேற்பட்ட பற்களில் கூர்மையான வலியை உணர்ந்தால், உங்கள் பற்கள் சொத்தையாக உள்ளது என்று அர்த்தம். மேலும் வாயில் உள்ள குறிப்பிட்ட பாக்டீரியா உணவில் உள்ள சர்க்கரையை எடுத்து அமிலமாக மாற்றி, பற்களை சொத்தையாவோ அல்லது பற்களில் ஓட்டை விழவோ செய்து, கூர்மையான வலியை ஏற்படுத்துகிறது. இந்த கூர்மையான பல் வலி எப்போதாவது வந்தால் பிரச்சனையில்லை, அதுவே ஒரு வாரத்திற்கு மேல் சந்தித்து வந்தால், உடனே மருத்துவரை சந்திக்க வேண்டும்.

நாள்பட்ட மிதமான பல் வலி
சிலருக்கு பல் வலிப்பது போல் இருக்கும், ஆனால் இருக்காது. இந்நிலை 1-2 நாட்களுக்கு இருந்தால் எப்பிரச்சனையும் இல்லை. ஆனால் அதுவே வாரக்கணக்கில் இருந்தால், அது நீங்கள் உங்கள் பற்களைக் கொறிக்கிறீர்கள் அல்லது உங்கள் ஈறுகளில் சீழ் சேர்ந்து வீக்கத்தை உண்டாக்கி, வலியை ஏற்படுத்தியிருக்கலாம். எனவே நாள்கணக்கில் பல் வலி மிதமான அளவில் இருந்தாலும் சாதாரணமாக எண்ணாமல் மருத்துவரை அணுகுங்கள்.

பல் கறைகள்
பற்களில் மஞ்சள் கறைகள் படிவது சாதாரணம் தான். இது எந்த ஒரு தீவிர பிரச்சனைக்கும் அறிகுறி அல்ல. இந்த மாதிரியான கறைகள் காபி, டீ, ஒயின் அல்லது இதர குளிர் பானங்கள் மூலம் ஏற்படுபவை. இதனைத் தடுக்க பல வழிகள் உள்ளன. ஆனால் உங்கள் பற்களில் ப்ரௌன் நிறத்திலோ இருந்தால், நீங்கள் டெட்ராசைக்கிளின் ஆன்டி-பயாடிக் அல்லது வேறு மருந்துகளை அதிகம் எடுத்துள்ளீர்கள் என்று அர்த்தம். ப்ரௌன் நிற பற்களால் எவ்வித பாதிப்பும் இல்லை. அதனை நீக்க மருத்துவரை சந்தித்தாலே போதும். அவர் உங்களுக்கு வழியை சொல்வார்.

திடீரென்று பற்கள் தளர்வது அல்லது கோணலாவது
உங்கள் பற்கள் திடீரென்று தளர்ந்தாலோ அல்லது கோணலாக திரும்பினாலோ, உங்கள் மருத்துவர் சொல்லி தான் அது பெரிய பிரச்சனைக்குரிய அறிகுறி என்று தெரிய வேண்டிய அவசியமில்லை. நிச்சயம் இம்மாதிரியான நிலை பற்களைச் சுற்றி நோய்கள் உள்ளது என்பதற்கான அறிகுறி. நீங்கள் சரியாக பற்களை துலக்காமல் அல்லது சுத்தமாக வைத்துக் கொள்ளாமல் இருந்தால், வாயில் உள்ள பாக்டீரியா பற்களில் ப்ளேக் உருவாக்கி, பற்கள் மற்றும் தாடையைச் சுற்றியுள்ள எலும்புகளை கரையச் செய்துவிடும். எனவே கவனமாக இருங்கள். உடனே மருத்துவரை இம்மாதிரியான சூழ்நிலையில் சந்தியுங்கள்.

ஈறுகளில் வீக்கம், இரத்தக்கசிவு
இம்மாதிரியான நிலை கர்ப்ப காலத்தில் அல்லது ஹார்மோன்களின் மாற்றங்களினால் ஏற்படக்கூடும். அதே சமயம் இது வாயில் பாக்டீரியாக்களின் அளவு அதிகமாகும் போதும் ஏற்படும். ஆகவே உங்கள் ஈறுகளில் உள்ள பிரச்சனைகள் 1 வாரத்திற்கும் மேல் நீடித்தால், உடனே மருத்துவரை சந்தியுங்கள்.

வாய் புண்கள்
வாயில் புண்கள் வருவதற்கு அதிகமாக சிட்ரஸ் பழங்கள், காரமான உணவுகள் அல்லது மிகவும் சூடான உணவுகளை உண்பது போன்றவை தான் காரணம். இக்காரணங்களால் வாய் புண் வந்தால் 2-3 நாட்களில் போய்விடும். ஆனால் இந்த வாய்ப்புண் நீடித்திருக்கும் போது, அது தீவிர வைட்டமின் ஏ குறைபாட்டினைக் குறிக்கிறது. எனவே வைட்டமின் ஏ நிறைந்த உணவுப் பொருட்களான பசலைக்கீரை, சர்க்கரைவள்ளிக்கிழங்கு, கேரட் போன்றவற்றை அதிகம் உட்கொள்ளுங்கள். ஒருவேளை இன்னும் நீடித்திருந்தால், உடனே மருத்துவரை அணுகுங்கள்.

பல் கூச்சம்
நீங்கள் மிகவும் குளிர்ச்சியான அல்லது சூடான உணவுகள் அல்லது பானங்களைப் பருகும் போது, பற்கள் அல்லது ஈறுகளில் கூச்சம் ஏற்பட்டால், இதற்கு சொத்தையும் ஓர் காரணமாக இருக்கும். இல்லாவிட்டால், உங்கள் பற்களின் வேர்கள் வெளியே தெரிய ஆரம்பிக்கிறது என்றும் அர்த்தம். இவைகள் ஏற்படுவதற்கு காரணம் அதிகப்படியான பாக்டீரியாக்கள், பற்களை கொறிப்பது அல்லது மிகவும் கடினமாக பற்களைத் துலக்குவது போன்றவைகள்.

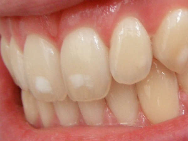
பற்களில் சிவப்பு அல்லது வெள்ளை புள்ளிகள்
பற்களில் சிவப்பு அல்லது வெள்ளைப் புள்ளிகளுடன் வலிகள் தெரிந்து, ஒரு வாரத்திற்கும் மேல் நீடித்திருந்தால், அது வாய் புற்றுநோய்க்கும் ஓர் அறிகுறியாகும். எனவே அப்போது பல் மருத்துவரை உடனே சந்திக்க வேண்டும்.



Click it and Unblock the Notifications











