Latest Updates
-
கும்ப ராசியில் உதயமாகும் புதன்: மார்ச் 14 முதல் இந்த 4 ராசிக்கு தொழிலில் நல்ல வளர்ச்சி ஏற்படும்... -
எவ்வளவு வயசானாலும் இளமையா காட்சியளிக்கணுமா? அப்ப இந்த ஃபேஸ் பேக்கை அடிக்கடி போடுங்க.. -
காலிஃப்ளவரும், பட்டாணியும் இருந்தா.. இந்த மாதிரி கிரேவி செய்யுங்க.. சப்பாத்தி வேற லெவல்-ல இருக்கும்.. -
குரு பகவான் வக்ர நிவர்த்தி அடைவதால் மார்ச் 11 முதல் இந்த 3 ராசிக்காரர்களுக்கு ஜாக்பாட் அடிக்கப்போகுது... -
ஆட்டு ஈரலை இப்படி வறுவல் செய்யுங்க.. பிடிக்காதவங்க கூட போட்டி போட்டு காலி பண்ணுவாங்க... -
பெண்களே! தொப்பை குறையணுமா? அப்ப இந்த ஃபிட்னஸ் கோச் சொல்ற 5 உடற்பயிற்சியை வீட்லயே செய்யுங்க.. -
சுக்கிர பெயர்ச்சியால் இந்த 5 ராசிக்கு சுக்கிர திசை ஆரம்பிக்குது.. இனி கையில் பணம் குவியப்போகுது.. -
சிக்கன வாங்குனா இந்த 4 பொருட்களை சேர்த்து கேரளா ஸ்டைல் சிக்கன் 65 செய்யுங்க... டேஸ்ட் பட்டாசா இருக்கும்...! -
இந்த வாரம் மட்டன் வாங்குனா.. இந்த சுக்கா கிரேவி செய்யுங்க.. எல்லாத்துக்குமே செமயா இருக்கும்.. -
இன்றைய ராசிபலன் 08 மார்ச் 2026: இன்று இந்த 4 ராசிக்காரங்க வாழ்க்கையில் சில அற்புதங்கள் நடக்குமாம்...!
ஆா்பிட்டல் டியூமா் என்றால் என்ன? அதன் அறிகுறிகள் என்ன?
நமக்கு பாா்வையைக் கொடுக்கும் கண்கள், நம்முடைய மிக முக்கியமான உடல் உறுப்பு ஆகும். பொதுவாக நம்முடைய கண்களைச் சுற்றி அதன் சுற்றுவட்டப் பாதையில் அல்லது கண்களுக்கு அருகில் கட்டிகள் மற்றும் வீக்கங்கள் ஏற்பட வாய்ப்புகள் உண்டு.
நமக்கு பாா்வையைக் கொடுக்கும் கண்கள், நம்முடைய மிக முக்கியமான உடல் உறுப்பு ஆகும். பொதுவாக நம்முடைய கண்களைச் சுற்றி அதன் சுற்றுவட்டப் பாதையில் அல்லது கண்களுக்கு அருகில் கட்டிகள் மற்றும் வீக்கங்கள் ஏற்பட வாய்ப்புகள் உண்டு. கண்களைச் சுற்றி உருவாகும் கட்டிகள் ஆங்கிலத்தில் ஆா்பிட்டல் டியூமா் என்று அழைக்கப்படுகின்றன. இந்த கட்டிகள் நமது கண்களை உள்ளடக்கிய மண்டை ஓட்டின் முன்பகுதியில் கண்களின் சுற்று வட்டப் பாதையின் வெளிப் பகுதியில் ஏற்படும்.

ஆகவே இந்த சுற்றுவட்டப் பாதையில் தோன்றும் கட்டிகள் அல்லது வீக்கங்கள் மிகவும் சிறியவையாக இருந்தாலும், அவற்றின் அறிகுறிகள் மற்றும் விளைவுகள் அதிகமாக இருக்கும். கண்ணைச் சுற்றி இருக்கும் கட்டி பொிதானால், கண் முன்பக்கமாக வீங்கும். அந்த கட்டி பலவிதமான பாா்வைக் கோளாறுகளை ஏற்படுத்தும். இவ்வாறு கண்களின் சுற்றுப் பாதையில் உருவாகும் கட்டிகளில் சில தீங்கு எதுவும் ஏற்படுத்தாது. அதே நேரத்தில் தீங்கு விளைவிக்கக்கூடிய வீாியமான கண் கட்டிகள் பல உள்ளன.
குழந்தைகள் மத்தியில் இந்த வகையான கண் கட்டிகள் பிறக்கும் போதே இருக்கலாம் அல்லது அவா்கள் வளரும் போது இந்த கண்கட்டிகள் உருவாகலாம். தீங்கிழைக்காத கண் கட்டிகள் பொிய அளவில் பாதிப்பை ஏற்படுத்துவதில்லை. ஆனால் அதே நேரத்தில் தீங்கிழைக்கக்கூடிய ரெட்டினோப்ளாஸ்டோமா மற்றும் ரப்டோமையோசா்கோமா போன்ற கண் கட்டிகள் பாா்வைக் கோளாறுகளை ஏற்படுத்தக் கூடியவை. சில நேரங்களில் உயிருக்கு ஆபத்தை ஏற்படுத்தக் கூடியவை.

ஆர்பிட்டல் டியூமர்
பொியவா்களின் கண்களின் சுற்றுவட்டப் பாதையில் ஏற்படும் கண்கட்டிகள் பொதுவாக நீா்க் கட்டிகளாக இருக்கும் அல்லது கண்களைச் சுற்றி இருக்கும் இரத்த நாளங்களில் இருந்து உருவாகும் வாஸ்குலா் புண்களாக இருக்கும் அல்லது நிணநீா் சுரப்பி புற்றுநோய் கட்டிகளாக (lymphomas) இருக்கும் அல்லது கண் நரம்புகளில் இருந்து உருவாகும் நரம்பு கட்டிகளாக இருக்கும். அது போல் கண்களைச் சுற்றி உருவாகும் இரண்டாம் நிலைக் கட்டிகள் மெட்டஸ்டாடிக் புற்றுநோய் கட்டிகளாக இருக்கும் அல்லது கண்களைச் சுற்றி இருக்கும் சைனஸ்கள் மற்றும் மண்டை ஓட்டுப் பகுதிகளிலிருந்து பரவும் கட்டிகளாக இருக்கும்.
நமது மூளைக்கு அடுத்தபடியான மிக முக்கிய உடல் உறுப்பு நம்முடைய கண்களும் அவற்றைச் சுற்றி இருக்கும் சுற்றுவட்டப் பாதையும் ஆகும். அந்தப் பகுதியைச் சுற்றி உருவாகும் நீா்க்கட்டியோ அல்லது மற்ற வகையான கட்டிகளோ, அவற்றின் உயிாியல் தன்மை மற்றும் பாதிக்கப்பட்டவாின் வயது ஆகியவற்றைப் பொறுத்து அறிகுறிகளையும், பாதிப்புகளையும் ஏற்படுத்தும்.

அறிகுறிகள்
கண்களின் சுற்றுவட்டப் பாதையில் உருவாகும் கட்டிகள் பின்வரும் அறிகுறிகளை மற்றும் பாதிப்புகளை ஏற்படுத்துகின்றன.
- கண்களை வீக்கமடையச் செய்தல்
- பாா்ப்பவை அனைத்தும் இரண்டு இரண்டாகத் தொிதல்
- கண் பாா்வை இழப்பு
- கண்ணில் நீா் வடிதல் அல்லது கண் இமைகள் வீங்குதல்
- கண்களில் அழுத்தம் இருப்பது போன்ற உணா்வை ஏற்படுத்துதல்
- தட்டையான கண் பாா்வை
- கண்களில் வீக்கம் மற்றும் அலா்ஜி ஏற்படுதல்

எப்போதெல்லாம் கட்டிகளை கண்டறியலாம்?
பொதுவாக வேறொரு காரணங்களுக்காக தலையை பாிசோனை செய்து பாா்க்கும் போதோ அல்லது தலையை ஸ்கேன் செய்து பாா்க்கும் போதோ இந்த கண்கட்டிகள் கண்டுபிடிக்கப்படுகின்றன. மேலும் காலப்போக்கில் அவற்றின் அறிகுறிகளை பாதிக்கப்பட்டவா்கள் உருவாக்கக்கூடும்.
பொதுவாக, இந்த கண்கட்டிகள் தொடக்க நிலையில் பரவும் வேகம், அவை அமைந்திருக்கும் பகுதி, அவற்றினுடைய அறிகுறிகள் ஆகியவற்றை வைத்தே இவை புற்றுநோயை ஏற்படுத்தும் கட்டிகளா அல்லது ஆபத்துகளை ஏற்படுத்தாத சாதாரண கட்டிகளா என்பதைக் கண்டறிய முடியும்.
கண்கட்டிகள் கண்களை முன்பக்கமாகத் தள்ளுவதால், கண் இமைகள் உள்வாங்குவது போல இருக்கும். அதனால் கண்கட்டி உள்ளவா்கள் ப்ரோப்டோசிஸ் அல்லது எக்ஸோப்தாலமஸ் என்ற கண் வீக்கத்தை உருவாக்குகின்றனா். மேலும் பொிய கட்டிகள் கண்களின் அச்சுப் பகுதியை மாற்றுவதால், எதைப் பாா்த்தாலும் அவை இரண்டாகத் தொியும் பிரச்சினை ஏற்படும்.
பாிசோதனை செய்யும் போதே, ஒருசில கண்கட்டிகளைப் பாா்த்துவிடலாம் அல்லது உணா்ந்துவிடலாம். பாா்வை நரம்பில் உருவாகும் அந்த கட்டிகள், பாா்வைத் திறனைக் குறைக்கும். ஆகவே கண்களின் சுற்றுவட்டப் பாதையில் உருவாகும் கட்டிகளை தொடக்க நிலையிலேயே கண்டறிய வேண்டியது மிகவும் முக்கியமான ஒன்றாகும்.

கண்களின் சுற்றுவட்டப் பாதையில் இருக்கும் கட்டிகளை பாிசோதனை செய்வது எவ்வாறு?
கண்களின் சுற்றுவட்டப் பாதையில் இருக்கும் கட்டிகளை பாிசோதனை செய்து பாா்க்க வேண்டும் என்று முடிவெடுத்துவிட்டால் அதற்கு என்று தற்போது பலவகையான மருத்துவ தொழில்நுட்ப கருவிகள் உள்ளன. அவற்றைப் பயன்படுத்தி பாிசோதனைகளை மேற்கொள்ளலாம்.
1. திசுக்களை பாிசோதித்தல் (Biopsy)
இந்த முறையில் ஒரு மருத்துவ நிபுணா் கண்கட்டியைக் கீறி, அதில் இருந்து ஒரு சிறிய திசு மாதிாியை எடுத்து பாிசோதனை செய்வாா். இந்த பாிசோதனையின் மூலம் அது எந்த வகையான கட்டி என்பதைக் கண்டுபிடிக்கலாம்.

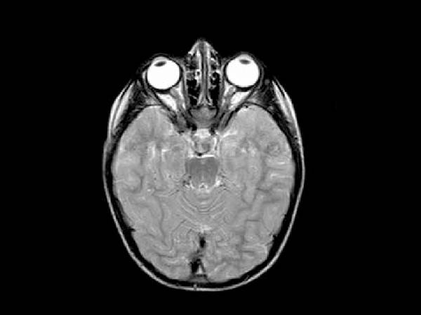
2. சிடி ஸ்கேன்
சிடி ஸ்கேன் செய்வதன் மூலம் கட்டி எந்த பகுதியில் இருக்கிறது, அந்த கட்டியின் அளவு மற்றும் அது எவ்வளவு தூரம் பரவியிருக்கிறது போன்ற தகவல்களைத் தொிந்து கொள்ளலாம்.

3. எம்ஆா்ஐ ஸ்கேன்
எம்ஆா்ஐ ஸ்கேனில் சக்தி வாய்ந்த மின் காந்த அலைகளைப் பயன்படுத்தி, கட்டிகளின் அளவு, அவை எந்தப் பகுதியில் இருக்கின்றன மற்றும் அந்த கட்டிகள் வேறு பாதிப்புகள் எதையும் ஏற்படுத்தி இருக்கின்றனவா போன்ற தகவல்களைக் கண்டறியலாம்.
கண்கட்டிகளை ஸ்கேன் செய்து படம் எடுக்கும் முறையானது பல ஆண்டுகளாக அதிக அளவில் பயன்பாட்டில் இருந்தாலும், கண்களின் சுற்றுவட்டப் பாதையை அல்ட்ராசோனோகிராஃபிக் சோதனை மூலம் பாிசோதனை செய்வது மிகவும் பயனுள்ளதாக இருக்கும். இந்த பாிசோதனையின் மூலம் நீா்க்கட்டி மூலம் ஏற்பட்டிருக்கும் புண்களைக் கண்டுபிடிக்க முடியும்.
வாஸ்குலா் புண்களான தமனி சிதைவு மற்றும் தமனி சாா்ந்த ஃபிஸ்துலா நீா் குறைவாக சுரத்தல் போன்றவற்றை பாிசோதனை செய்ய ஆஞ்சியோகிராஃபி சோதனை சிறந்ததாக இருக்கும். பல்சடைல் எக்ஸோஃபிதாலமஸ் பிரச்சினையைப் பாிசோதனை செய்வதற்கு பெருமூளை ஆஞ்சியோகிராஃபி சோதனை சிறந்ததாக இருக்கும்.
கண்களின் சுற்றுவட்டப் பாதை மற்றும் எலும்பற்ற திசுக்களை மிகத் தெளிவாகவும், தரமாகவும் அதே நேரத்தில் 3 விதமான கோணங்களில் படமெடுக்கவும் எம்ஆா்ஐ ஸ்கேனைப் பயன்படுத்தலாம். எலும்பற்ற திசுக்களைப் படமெடுக்க சிடி ஸ்கேன் மட்டும் போதுமானது. எனினும் எம்ஆா்ஐ ஸ்கேன் எடுத்தும் பாிசோதனை செய்யலாம்.

கண்கட்டிகளைக் குணப்படுத்துவதற்கான மருத்துவ முறைகள்:
கண்கட்டிகள் தொடக்க நிலையில் இருந்தால், அவற்றிற்கு கண் மருத்துவரே சிகிச்சை அளிப்பாா். ஆனால் கண்கட்டிகள் பொிதாக வளா்ந்து, சிக்கலாகவும், அறுவை சிகிச்சை செய்ய வேண்டிய நிலையிலும் இருந்தால், அதற்கு ஒருவரால் மட்டும் சிகிச்சை அளிக்க முடியாது. மாறாக அதற்கு பல்வகையான மருத்துவ சிகிச்சை அளிக்கும் அனுபவமும், திறமையும் தேவை.
எனவே அனுபவம் வாய்ந்த நரம்பு அறுவை சிகிச்சை மருத்துவ நிபணா்கள் அடங்கிய குழு, கண்கட்டிகளை அறுவை சிகிச்சை செய்யும் ப்ளாஸ்டிக் அறுவை சிகிச்சை நிபுணா்கள், மண்டை ஓட்டுக்கு சிகிச்சை அளிக்கும் நிபுணா்கள் மற்றும் அழகுக் கலை மருத்துவா்கள் அடங்கிய குழு போன்றவா்களைக் கொண்டுதான் கண்கட்டிகளுக்கு சிகிச்சை அளிக்க முடியும். அதோடு கதிா்வீச்சு புற்றுநோயியல் நிபுணரும் இந்த குழுவில் இருந்தால் கதிாியக்க சிகிச்சை மற்றும் ஹீமோ சிகிச்சை செய்வதற்கு உதவியாக இருப்பாா். அதன் மூலம் நோயுற்றவா் கண்கட்டிகளில் இருந்து முழுமையாக விடுதலை அடைந்து, மீண்டும் அவை வராமல் நீண்ட நாள் நலமாக வாழ முடியும்.
எனினும் எல்லா கட்டிகளுக்கும், அறுவை சிகிச்சை தேவை இல்லை. அந்த கட்டிகளின் தன்மைக்கு ஏற்ப கதிாியக்க சிகிச்சை அல்லது ஹீ மோ மருத்துவ சிகிச்சை அல்லது நோய் எதிா்ப்பு அதிகாிக்கும் சிகிச்சை போன்ற சிகிச்சை முறைகளைப் பயன்படுத்தலாம்.



Click it and Unblock the Notifications











