Latest Updates
-
World Kidney Day 2026: சிறுநீரகங்கள் ஆரோக்கியமா இருக்கணுமா? அப்ப டாக்டர் சொல்ற இந்த 5 உணவுகளை சாப்பிடுங்க.. -
ராகு-கேதுவால் உருவாகியுள்ள கால சர்ப்ப யோகம்: இந்த 3 ராசிக்கு மார்ச் 26 வரை வெற்றியும், பணமும் குவியப்போகுது... -
இந்த கஞ்சியை தினமும் காலையில் 1 கப் குடிங்க.. உடல் எடை ஜெட் வேகத்தில் குறையும்... -
இன்றைய ராசிபலன் 10 மார்ச் 2026: இன்று இந்த 4 ராசிக்காரர்களுக்கு துரதிர்ஷ்டம் துரத்தும் நாளாக இருக்குமாம்...! -
மீனத்தில் உருவாகும் திரிகிரக யோகம்: தனுசு உள்ளிட்ட 3 ராசிக்கு தொழிலில் நல்ல முன்னேற்றம் ஏற்படும்... -
முடி அதிகமா கொட்டுதா? அப்ப தேங்காய் எண்ணெயுடன் இந்த எண்ணெயை சேர்த்து யூஸ் பண்ணுங்க.. -
300 ஆண்டுக்கு பின் உருவாகும் சுக்ராதித்ய யோகம் 2026: இந்த 3 ராசிக்காரர்களுக்கு கோடீஸ்வர யோகம் தேடிவரப்போகுதாம் -
கொய்யாக்காய் வாங்குனா இந்த மாதிரி சட்னி அரைச்சு பாருங்க... இட்லி, தோசைக்கு வித்தியாசமா சூப்பரா இருக்கும்...! -
1 கப் ராகி மாவும், 1/2 கப் தேங்காயும் இருந்தா.. ஈவ்னிங் டைம்-ல இந்த ஸ்நாக்ஸை ட்ரை பண்ணுங்க.. -
மரணமிலா வாழ்க்கையை வாழ்வதற்கு ஒரு வழி கிடைத்துவிட்டது..ஆனா இதுக்கு எவ்வளவு செல்வாகும் தெரியுமா? ஷாக் ஆகாதீங்க!
நாம் செய்யும் இந்த தவறுகளால் தான் பற்கள் இப்படி ஆகுதுன்னு தெரியுமா?
பற்களைத் துலக்கும் போது நம்மில் பலர் ஒருசில தவறுகளை நம்மை அறியாமல் செய்கிறோம். இந்த தவறுகளால் பற்கள் மற்றும் ஈறுகளின் ஆரோக்கியம் பாதிக்கப்படுகிறது.
உடல் ஆரோக்கியமாக இருக்க வேண்டுமானால் அதற்கு முதலில் வாய் ஆரோக்கியமாக இருக்க வேண்டும். ஏனெனில் நாம் நம் உடலுக்கு தேவையான சத்துக்களை உணவுகளின் மூலம் தான் பெறுகிறோம். இந்த உணவுகளை வாயின் வழியாகத் தான் சாப்பிடுகிறோம். இத்தகைய வாய் அசுத்தமாகவும் ஆரோக்கியமற்றதாகவும் இருந்தால், ஆரோக்கியமான உணவுகளை சாப்பிட்டும் பலன் இருக்காது.

பொதுவாக வாயின் ஆரோக்கியத்திற்காக நாம் ஒரு நாளைக்கு குறைந்தது ஒன்று அல்லது இரண்டு முறை பற்களைத் துலக்குவோம். அதுவும் காலை மற்றும் இரவு நேரத்தில் பற்களைத் துலக்குவோம். அப்படி பற்களைத் துலக்கும் போது நம்மில் பலர் ஒருசில தவறுகளை நம்மை அறியாமல் செய்கிறோம். இந்த தவறுகளால் பற்கள் மற்றும் ஈறுகளின் ஆரோக்கியம் பாதிக்கப்படுகிறது. இதனால் பல்வேறு வாய் சம்பந்தமான பிரச்சனைகளையும் சந்திக்கிறோம். இதுப்போன்று பல தவறுகளை நாம் புரிந்து வருகிறறோம். இப்போது பற்களின் ஆரோக்கியத்தை பாதுகாக்கும் போது நாம் செய்யும் மிகப்பெரிய தவறுகளைக் காண்போம்.

பற்களை அழுத்தி தேய்ப்பது
பற்களில் உள்ள அழுக்கு போக வேண்டுமென்று, பலர் பற்களை அழுத்தி தேய்ப்பார்கள். ஆனால் அப்படி அழுத்தி தேய்க்கும் போது, பிரஸில் உள்ள மயிர்கால்கள் வளைந்து, பற்களில் சிக்கியுள்ள அழுக்குகள் சரியாக நீக்கப்படாமல் இருக்கும். அதோடு ஈறுகள் சேதமடையவும் வழிவகுக்கும். எனவே பற்களை எப்போதும் துலக்கும் போது, மென்மையாக தேய்ப்பதுடன், சரியான மென்மையான டூத் பிரஷ் மற்றும் டூத் பேஸ்ட்டைத் தேர்ந்தெடுத்து பயன்படுத்துங்கள்.

என்ன சாப்பிடுகிறோம் என்பதை கவனிப்பதில்லை
இனிப்பான பொருட்களை அதிகம் சாப்பிட்டால் பற்கள் சொத்தையாகும் என்பது நாம் அனைவரும் அறிந்ததே. இருப்பினும், பற்கள் ஆரோக்கியமாக இருப்பதற்கு, நாம் கால்சியம், பாஸ்பரஸ் மற்றும் ஃப்ளோரின் நிறைந்த உணவுகளை உண்ண வேண்டும். அந்த உணவுகளாவன:
கால்சியம் உணவுகள்:
* பால் பொருட்கள்
* பழங்கள் மற்றும் காய்கறிகளின் தோல்
* மீன்
* பீன்ஸ்
பாஸ்பரஸ் உணவுகள்:
* மீன்
* செரில்கள்
* நட்ஸ்
* பருப்பு வகைகள்
வழக்கமாக அன்றாடம் தேவையான ஃப்ளோரினை தண்ணீரில் இருந்து பெறுகிறோம். இருப்பினும், நீரில் ப்ளோரின் குறைவாக உள்ள பகுதியில் நீங்கள் வசிப்பவராயின், ஃப்ளோரின் நிறைந்த பால், உப்பு போன்ற உணவுகளை அதிகம் சாப்பிட வேண்டும்.

பற்களை சுத்தப்படுத்தும் கருவிகளைப் பயன்படுத்தாமல் இருப்பது
டூத் பிரஷ் மட்டும் பற்களில் உள்ள அழுக்குகளை முழுமையாக நீக்கிவிடாது. குறிப்பாக பற்களின் இடுக்குகளை சுத்தம் செய்ய வேண்டியது மிகவும் அவசியம். அதனால் தான் பற்களின் இடுக்குகளில் சிக்கியுள்ள துகள்களை நீக்க டென்டல் ப்ளாஷ் பயன்படுத்த அறிவுறத்துகின்றனர். அதோடு வாயில் உள்ள பாக்டீரியாக்களை அழிக்க, மௌஷ் வாய் கொண்டு வாயை சுத்தம் செய்ய வேண்டும்.

ஈறுகளை கவனிக்காமல் இருப்பது
ஈறுகள் பலவீனமாக இருந்தால் மற்றும் போதுமான இரத்தம் கிடைக்கப் பெறாவிட்டால், அது பெரிடான்டிடிஸ் என்னும் ஈறு நோய்க்கு வழிவகுக்கும். இந்த நோயால் ஈறுகள் மென்மையாகி வீக்கமடைந்து இரத்த கசிவு ஏற்படும். அதோடு பற்களும் தளர்ந்துவிடும்.
எனவே ஈறுகளை வலுவாக்க, டூத் பிரஷ் கொண்டு ஈறுகளை மசாஜ் செய்ய வேண்டும். அதோடு திட உணவுகளை நன்கு மென்று விழுங்க வேண்டும். அதோடு வேப்பங்குச்சியால் பற்களைத் துலக்குவது, உப்பு நீரால் வாயைக் கொப்பளிப்பது போன்ற செயல்களையும் மேற்கொள்ள வேண்டும்.
ஒருவேளை உங்கள் ஈறுகளில் இரத்தக்கசிவு ஏற்பட்டால், பல் மருத்துவரை அணுகுங்கள் மற்றும் அவர் பரிந்துரைக்கும் மருந்துகளை தவறாமல் பயன்படுத்துங்கள்.

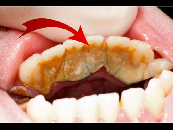
பற்களில் உள்ள மஞ்சள் கறைகளை நீக்காமல் இருப்பது
பற்களில் உள்ள மஞ்சள் கறைகளானது உணவு மற்றும் எச்சிலில் இருந்து வரும் தாதுக்கள் பற்களைச் சுற்றி படிவதால் ஏற்படுவதாகும். இது பெரும்பாலும் பற்களின் பின் பகுதியில் தான் ஏற்படும். இந்த மாதிரியான மஞ்சள் கறைகளை டூத் பிரஷ் கொண்டு நீக்க முடியாது. இந்த மஞ்சள் கறைகள் பற்களைச் சுற்றியுள்ள எலும்புகளில் அழற்சியை உண்டாக்குவதோடு, ஈறு நோயையும் உண்டாக்கும். முக்கியமாக இந்த மஞ்சள் கறைகள் கடினமாக இருப்பதால், பல் மருத்துவர்களால் சிறப்பு கருவிகளைப் பயன்படுத்தி மட்டுமே நீக்க முடியும்.
எனவே வருடத்திற்கு ஒருமுறையாவது பல் மருத்துவரை அணுகு உங்கள் பற்களை சுத்தம் செய்யுங்கள். இதனால் நீண்ட நாட்கள் பற்கள் நல்ல நிலையில் இருக்கும்.

பற்களுக்கு க்ளிப் இளம் வளதில் தான் போட வேண்டும்
பெரும்பாலான மக்கள் பற்களை நேராக்குவதற்கான க்ளிப்பை இளம் வயதில் தான் போட வேண்டும் என்று நினைக்கின்றனர். ஆனால் அது முற்றிலும் தவறான எண்ணம். நல்ல அழகிய புன்னகையைப் பெற நினைப்பவர்கள், எந்த வயதிலும் பற்களுக்கு க்ளிப் போடலாம். பொதுவாக பற்கள் நேராக இல்லாதவர்களுக்கு தான் சொத்தைப் பற்கள் மற்றும் பற்கள் விரைவில் சேதமடையும். ஒருவேளை உங்களுக்கு க்ளிப் போட சங்கடமாக இருந்தால், அந்த க்ளிப் தெரியாதவாறு பற்களின் பின்புறம் வேண்டுமானாலும் போடலாம். எனவே இதுக்குறித்து மருத்துவரிடம் கேட்க தயங்காதீர்கள். உங்கள் பற்கள் ஆரோக்கியமாகவும், அழகாகவும் இருக்க நினைத்தால், இந்த விஷயத்தை மேற்கொள்ளுங்கள்.

ஒரு பக்கமாக உணவுகளை மெல்லுவது
மெல்லுவது சுய சுத்திகரிப்பு பண்புகளைக் கொண்டுள்ளது. எனவே நீங்கள் உணவுகளை உண்ணும் போது வாயின் ஒரு பக்கத்தில் மட்டும் மென்று சாப்பிட்டால், அது பயன்படுத்தாத பக்கத்தில் சொத்தை பற்கள் மற்றும் துவாரங்களுக்கு வழிவகுக்கும். அது தவிர வாயில் ஒரு பக்கத்தில் மட்டும் உணவை மெல்லும் போது, அந்த பக்கத்தில் உள்ள தசைகள் வலுவாகி, பயன்படுத்தாத பக்கத்தில் உள்ள தசைகள் பலவீனமாக இருக்கும். இப்படி முகத்தின் ஒவ்வொரு பக்கத்திலும் உள்ள தசைகள் சமச்சீரற்றதாக மாறும். இறுதியில், இது வலி மற்றும் செவி பிரச்சினைகளுக்கு வழிவகுக்கும். எனவே சாப்பிடும் போது இரண்டு பக்கத்திலும் உணவுகளை மெல்லுங்கள்.



Click it and Unblock the Notifications











