Latest Updates
-
இன்றைய ராசிபலன் 10 மார்ச் 2026: இன்று இந்த 4 ராசிக்காரர்களுக்கு துரதிர்ஷ்டம் துரத்தும் நாளாக இருக்குமாம்...! -
மீனத்தில் உருவாகும் திரிகிரக யோகம்: தனுசு உள்ளிட்ட 3 ராசிக்கு தொழிலில் நல்ல முன்னேற்றம் ஏற்படும்... -
முடி அதிகமா கொட்டுதா? அப்ப தேங்காய் எண்ணெயுடன் இந்த எண்ணெயை சேர்த்து யூஸ் பண்ணுங்க.. -
300 ஆண்டுக்கு பின் உருவாகும் சுக்ராதித்ய யோகம் 2026: இந்த 3 ராசிக்காரர்களுக்கு கோடீஸ்வர யோகம் தேடிவரப்போகுதாம் -
கொய்யாக்காய் வாங்குனா இந்த மாதிரி சட்னி அரைச்சு பாருங்க... இட்லி, தோசைக்கு வித்தியாசமா சூப்பரா இருக்கும்...! -
1 கப் ராகி மாவும், 1/2 கப் தேங்காயும் இருந்தா.. ஈவ்னிங் டைம்-ல இந்த ஸ்நாக்ஸை ட்ரை பண்ணுங்க.. -
மரணமிலா வாழ்க்கையை வாழ்வதற்கு ஒரு வழி கிடைத்துவிட்டது..ஆனா இதுக்கு எவ்வளவு செல்வாகும் தெரியுமா? ஷாக் ஆகாதீங்க! -
சுக்கிரனின் நட்சத்திர பெயர்ச்சி: மார்ச் 15 முதல் இந்த 5 ராசிக்காரங்க பண விஷயத்துல கவனமா இருக்கணும்.. -
முருங்கைக்கீரையை இந்த மாதிரி கேரளா ஸ்டைலில் தோரன் செஞ்சு சாப்பிடுங்க..சுவையாவும், ஆரோக்கியமாகவும் இருக்கும்..! -
1 கப் தயிர் இருந்தா.. மதியம் 5 நிமிஷத்துல இந்த குழம்பு செய்யுங்க.. ருசியாவும், வெயிலுக்கு இதமாவும் இருக்கும்..
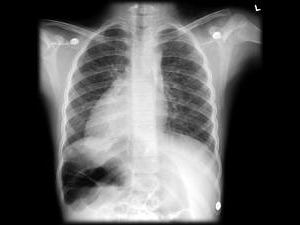
வலது பக்கத்தில் இதயம் இருந்தாலும் ஆபத்தில்லை

மனித உடலில் உள்ள உறுப்புகளில் இதயத்தின் பங்கு முக்கியமானது. உடலுக்கு தேவையான நல்ல ரத்தத்தை பம்ப் செய்து அனுப்பும் முக்கிய பணி இதனுடையது. ரத்தத்தை சுத்திகரித்து அசுத்தங்களை கழிவுப் பகுதிக்கு அனுப்பிவிடும். உறங்கும் போது மூளை உள்பட மற்ற உறுப்புகள்கூட சில மணிநேரங்கள் ஓய்வு எடுக்கும். ஆனால் இதயத்துக்கு ஓய்வு கிடையாது. 24 மணிநேரமும் ஒய்வின்றி இதன் பணி இருக்கும். அந்த அளவுக்கு இதயம் முக்கிய உறுப்பாக உள்ளது.
வலதுபக்கத்தில் இதயம்
இதயமானது மனிதனுக்கு இடது பக்கம்தான் இருக்கும். இதுதான் படைப்பு. ஆனால் சென்னையைச் சேர்ந்த இந்திரா என்ற பெண்ணுக்கு வலது பக்கம் இதயம் இருப்பது பெரும் ஆச்சரியத்தை ஏற்படுத்தி உள்ளது. இவருக்கு வலதுபுறம் இருக்க வேண்டிய கல்லீரல் குடல் போன்ற பாகங்கள் இடதுபக்கமாகவும், இடதுபுறம் இருக்கவேண்டிய உறுப்புகள் வலது புறமாகவும் மாறி இருக்கிறது.
இவரது கணவர் முன்னாள் ராணுவ வீரர். இவருக்கு 4 மகள்கள் உள்ளனர்.
உயிருக்கு ஆபத்தில்லை
கடந்த 6 மாதமாக இந்திராவுக்கு அடிக்கடி நெஞ்சுவலி, மயக்கம், சோர்வு ஏற்பட்டது. கடந்த 25-ந்தேதி சென்னை அரசு ஆஸ்பத்திரியில் இருதய நோய் சிகிச்சை பிரிவில் சேர்த்தனர். அங்கு ஸ்கேன் பரிசோதனை செய்தபோது இடது பக்கம் இருக்க வேண்டிய இதயம் உள்ளிட்ட பாகங்கள் வலது பக்கத்திலும், வலது பக்கம் இருக்க வேண்டிய கல்லீரல், குடல் உள்ளிட்ட பாகங்கள் இடது பக்கத்திலும் இருப்பது கண்டறியப்பட்டது. இதனால் அவரது உயிருக்கு ஆபத்து இல்லை என்றாலும் இதயத்தில் அடைப்பு ஏற்பட்டு இருப்பதால் அறுவை சிகிச்சை செய்யப்பட்டு பின்னர் பேஸ் மேக்கர் கருவி பொருத்தப்பட்டது.
தீவிர சிகிச்சை பிரிவில் இருந்து குணம் அடைந்த இந்திரா தற்போது பூரண குணத்துடன் உள்ளதாக அவரது கணவர் தெரிவித்துள்ளார்.
கோடியில் ஒருவருக்கு இதேபோல் வலது பக்கத்தில் உறுப்புகள் மாறி இருக்கும் இதனால் உயிருக்கு ஆபத்து எதுவும் ஏற்படாது என மருத்துவர்கள் தெரிவித்துள்ளனர்.
Disclaimer: இந்தக் கட்டுரையில் வழங்கப்பட்ட தகவல்கள் பொதுவான தகவல் மற்றும் கல்வி நோக்கங்களுக்காக மட்டுமே, மேலும் இது தொழில்முறை மருத்துவ ஆலோசனை, நோயறிதல் அல்லது சிகிச்சைக்கு மாற்றா பகிரப்படவில்லை. மருத்துவ நிலை குறித்து உங்களுக்கு ஏதேனும் கேள்விகள் இருந்தால் உங்கள் மருத்துவர் அல்லது தகுதிவாய்ந்த சுகாதார வழங்குநரின் ஆலோசனையைப் பெறவும்.



Click it and Unblock the Notifications











