Latest Updates
-
18 ஆண்டுக்கு பின் கேது மகம் நட்சத்திரத்திற்கு செல்வதால் கோடீஸ்வர யோகத்தை பெறப்போகும் 3 ராசிகள் -
2 தக்காளியும், கடலைப்பருப்பும் இருந்தா இந்த சட்னியை அரைங்க - இட்லி, தோசைக்கு செமையா இருக்கும் -
வெயில் காலத்தில் முடி அதிகமா கொட்டாம இருக்கணுமா? இந்த ஈஸியான வீட்டு வைத்தியங்களை யூஸ் பண்ணுங்க -
சுட்டெரிக்கும் வெயில் காலத்தில் உங்க உடலை ஜில்லுனு வைச்சுக்கணுமா? இந்த உணவுகளை அடிக்கடி சாப்பிடுங்க -
வாஸ்து படி உங்க பர்ஸில் இந்த பொருட்களில் ஒன்று இருந்தாலும் துரதிர்ஷ்டம் உங்களை விட்டு எப்பவுமே போகாதாம் -
செட்டிநாடு மாங்காய் கார குழம்பு ரெசிபி: ட்ரை பண்ணி பாருங்க - செமையா இருக்கும் -
குரு-செவ்வாய் உருவாக்கும் கேந்திர திருஷ்டி யோகம்: இந்த 4 ராசிக்காரங்க கோடிகளை குவிக்கப் போறாங்களாம் -
பூமியின் ரகசிய 'தங்க தொழிற்சாலையை' கண்டறிந்துள்ள விஞ்ஞானிகள்: எந்த இடத்தில் தெரியுமா? -
5 தக்காளியும், 3 வரமிளகாயும் இருந்தா.. இந்த சட்னியை செய்யுங்க.. இட்லி, தோசைக்கு தாறுமாறா இருக்கும்.. -
இன்றைய ராசிபலன் 16 ஏப்ரல் 2026: இன்று இந்த 4 ராசிக்காரர்களை துரதிர்ஷ்டம் துரத்தப் போகுதாம்
ரிஷி கபூரின் உயிரைப் பறித்த புற்றுநோய் எது தெரியுமா? எதனால் வருகிறது? அதன் அறிகுறிகள் என்ன?
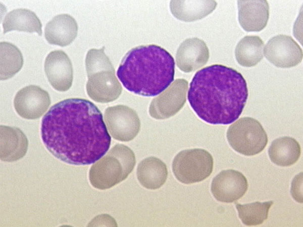
அறிக்கையின் படி, ரிஷி கபூர் கடுமையான மைலாய்டு லுகேமியாவால் (Acute Myeloid Leukaemia) அவஸ்தைப்பட்டு வந்துள்ளார். எலும்பு மஜ்ஜையில் உள்ள மைலாய்டு செல்களின் பெருக்கத்தால் ஏற்படுவதாகும்.
பழங்கால நடிகரான ரிஷி கபூர் லுகேமியாவுடனான நீண்ட போராட்டத்திற்கு பின் 2020 ஆம் ஆண்டு ஏப்ரல் 30 அன்று காலை 8.45 மணியளவில் மரணமடைந்தார். இந்த பாலிவுட் நடிகர் இரண்டு ஆண்டுகளுக்கு முன் 2018 ஆம் ஆண்டு லுகேமியா நோய் இருப்பது கண்டறியப்பட்டது மற்றும் கிட்டத்தட்ட ஒரு வருடமாக அமெரிக்காவில் எலும்பு மஜ்ஜை சிகிச்சையை மேற்கொண்டு வந்திருந்தார்.

இக்கட்டுரையில் ரிஷி கபூரின் உயிரைப் பறித்த லுகேமியாவின் ஒரு வகையைப் பற்றியும், அதன் அறிகுறிகள், காரணங்கள் மற்றும் இதர விஷயங்கள் குறித்து விரிவாக கொடுக்கப்பட்டுள்ளது. அதைப் பார்ப்போம் வாருங்கள்.

லுகேமியா என்றால் என்ன?
இரத்தம் மற்றும் எலும்பு மஜ்ஜை புற்றுநோய் தான் லுகேமியா. இது எலும்பு மஜ்ஜையில் உருவாகும் புற்றுநோய்களுக்கு வழங்கப்படும் பொதுவான பெயராகும். லுகேமியா என்பது நம் உடலில் ஆரோக்கியமான இரத்த செல்களை உருவாக்க முடியாத நிலையாகும். பெரும்பாலான நேரங்களில், லுகேமியா இரத்த வெள்ளை அணுக்களில் உருவாகிறது. ஆனால் சில சமயங்களில் இரத்த சிவப்பணுக்கள் அல்லது தட்டணுக்களில் உருவாகலாம்.

எலும்பு மஜ்ஜை
நமது உடலில், இரத்த சிவப்பணுக்கள், இரத்த வெள்ளையணுக்கள் மற்றும் இரத்த தட்டுக்களின் உற்பத்திக்கு எலும்பு மஜ்ஜை தான் காரணமாகும். ஒருவரது எலும்பு மஜ்ஜையில் இருக்கும் செல்களில் உள்ள குறைபாடுகள் காரணமாக முதிர்ச்சியற்ற செல்கள் உருவாக ஆரம்பிக்கும் போது லுகேமியா என்னும் இரத்த புற்றுநோய் ஏற்படுகிறது. இப்படி அசாதாரண செல்கள் உற்பத்தியாகும் போது, தொற்றுக்கள் மற்றும் அசாதாரண நோய்களை திறம்பட எதிர்த்துப் போராட முடியாமல் போகிறது. மேலும், அந்த அசாதாரண செல்கள் விரைவான வேகத்தில் பிரிக்கப்பட்டு, சாதாரண இரத்த அணுக்களின் உற்பத்தியில் தடையை ஏற்படுத்துகின்றன.

ரிஷி கபூரை தாக்கிய லுகேமியா
அறிக்கையின் படி, ரிஷி கபூர் கடுமையான மைலாய்டு லுகேமியாவால் (Acute Myeloid Leukaemia) அவஸ்தைப்பட்டு வந்துள்ளார். இது ஒரு வகையான லுகேமியா. எலும்பு மஜ்ஜையில் உள்ள மைலாய்டு செல்களின் பெருக்கத்தால் ஏற்படுவதாகும். மைலாய்டு செல்கள் என்பவை லிம்போசைட்டுகளைத் தவிர இரத்த சிவப்பணுக்கள், தட்டணுக்கள் மற்றும் அனைத்து வெள்ளையணுக்களும் அடங்கும். இந்த செல்கள் தான் உடலைத் தாக்கும் நோய்க்கிருமிகள எதிர்த்துப் போராடும் பாதுகாப்பு முறைக்கு பொறுப்பாகும்.
பெரும்பாலும் கடுமையான மைலாய்டு லுகேமியாவானது 60 வயதிற்கு மேற்பட்டவர்களுக்கு வரக்கூடும். இருப்பினும், இது எந்த வயதிலும் தோன்றலாம். மேலும் இந்த நோய் பெண்களை விட ஆண்களையே அதிகம் தாக்குகிறது.

கடுமையான மைலாய்டு லுகேமியாவின் காரணங்கள்
* அதிகப்படியான கதிரியக்க வெளிப்பாடு
* நீண்ட காலத்திற்கு பென்ஜீன் போன்ற கெமிக்கல்களின் வெளிப்பாடு
* ஹீமோதெரபி
* டவுன்ஸ் நோய்க்குறி (Down's Syndrome) போன்ற சில பிறவி நோய்கள்
* பரம்பரை
* மைலோஃபைப்ரோஸிஸ் மற்றும் அப்ளாஸ்டிக் அனீமியா போன்ற இரத்த கோளாறுகள்
* புகைப்பிடித்தல்

கடுமையான மைலாய்டு லுகேமியாவின் அறிகுறிகள்
* நாள்பட்ட உடல் சோர்வு
* மூச்சு விடுவதில் சிரமம்
* தலைச்சுற்றல்
* தாமதமாக காயங்கள் ஆறுதல்
* விவரிக்க முடியாத இரத்தக்கசிவு
* எலும்பு வலி
* ஈறு வீக்கம்
* கல்லீரல் வீக்கம்
* மார்பு வலி

கடுமையான மைலாய்டு லுகேமியாவின் சிகிச்சைகள்
கடுமையான மைலாய்டு லுகேமியாவின் சிகிச்சையானது நோயின் தீவிரம், வயது, ஒட்டுமொத்த ஆரோக்கியம் மற்றும் பிற காரணிகளைப் பொறுத்தது. அதற்கான சிகிச்சை முறைகள் பின்வருமாறு:
* நீக்குதல் தூண்டல் சிகிச்சை: இது சிகிச்சையின் முதல் கட்டமாகும். இதில் இரத்தம் மற்றும் எலும்பு மஜ்ஜையில் உள்ள லுகேமியா செல்கள் குறி வைக்கப்பட்டு கொல்லப்படுகின்றன.
* ஒருங்கிணைந்த சிகிச்சை: இதில் மீதமுள்ள லுகேமியா செல்கள் அழிப்பதற்காக செய்யப்படுவது. இது மேலே உள்ள சிகிச்சை முறையைப் பின்பற்றுவதாகும்.
* ஹீமோதெரபி: இந்த செயல்முறையில், புற்றுநோய் செல்களை அழிப்பதற்கு கெமிக்கல்கள் பயன்படுத்தப்படுகின்றன.
* எலும்பு மஜ்ஜை மாற்று அறுவை சிகிச்சை: இதை ஸ்டெம் செல் மாற்று அறுவை சிகிச்சை என்றும் அழைக்கப்படுகிறது. இந்த சிகிச்சை முறையில் ஆரோக்கியமற்ற எலும்பு மஜ்ஜையில் ஆரோக்கியமான எலும்பு மஜ்ஜையை மாற்றி, ஆரோக்கியமான இரத்த செல்களின் உற்பத்தியை மீண்டும் உருவாக்குகிறது.



Click it and Unblock the Notifications











