Latest Updates
-
மீனத்தில் உருவாகும் திரிகிரக யோகம்: தனுசு உள்ளிட்ட 3 ராசிக்கு தொழிலில் நல்ல முன்னேற்றம் ஏற்படும்... -
முடி அதிகமா கொட்டுதா? அப்ப தேங்காய் எண்ணெயுடன் இந்த எண்ணெயை சேர்த்து யூஸ் பண்ணுங்க.. -
300 ஆண்டுக்கு பின் உருவாகும் சுக்ராதித்ய யோகம் 2026: இந்த 3 ராசிக்காரர்களுக்கு கோடீஸ்வர யோகம் தேடிவரப்போகுதாம் -
கொய்யாக்காய் வாங்குனா இந்த மாதிரி சட்னி அரைச்சு பாருங்க... இட்லி, தோசைக்கு வித்தியாசமா சூப்பரா இருக்கும்...! -
1 கப் ராகி மாவும், 1/2 கப் தேங்காயும் இருந்தா.. ஈவ்னிங் டைம்-ல இந்த ஸ்நாக்ஸை ட்ரை பண்ணுங்க.. -
மரணமிலா வாழ்க்கையை வாழ்வதற்கு ஒரு வழி கிடைத்துவிட்டது..ஆனா இதுக்கு எவ்வளவு செல்வாகும் தெரியுமா? ஷாக் ஆகாதீங்க! -
சுக்கிரனின் நட்சத்திர பெயர்ச்சி: மார்ச் 15 முதல் இந்த 5 ராசிக்காரங்க பண விஷயத்துல கவனமா இருக்கணும்.. -
முருங்கைக்கீரையை இந்த மாதிரி கேரளா ஸ்டைலில் தோரன் செஞ்சு சாப்பிடுங்க..சுவையாவும், ஆரோக்கியமாகவும் இருக்கும்..! -
1 கப் தயிர் இருந்தா.. மதியம் 5 நிமிஷத்துல இந்த குழம்பு செய்யுங்க.. ருசியாவும், வெயிலுக்கு இதமாவும் இருக்கும்.. -
செவ்வாயின் நட்சத்திரம் மாற்றம் இந்த 4 ராசிகளுக்கு சகல நன்மைகளையும் அளிக்கப்போகுதாம்... உங்க ராசி இதுல இருக்கா?
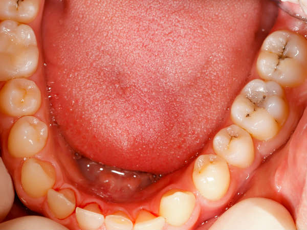
உங்க வாயில இந்த மாதிரி அறிகுறிகள் இருந்தா...அது வாய் புற்றுநோயோட அறிகுறியாம் தெரியுமா?
வாயில் மற்றும் உதடுகளில் புண்கள் பலருக்கு காணப்படுகின்றன. இது, முக்கியமாக வைட்டமின் சி குறைபாட்டால் ஏற்படுகின்றன. குணமடையாத புண்கள் இயற்கையில் புற்றுநோயாக இருக்கலாம் என்பதை கவனத்தில் கொள்ள வேண்டும்.
உதடு மற்றும் வாய்வழி குழி புற்றுநோய்களின் உலகளாவிய பாதிப்புகளில் ஒரு லட்சம் பேருக்கு 4 வழக்குகள் என மதிப்பிடப்பட்டுள்ளது. ஓரல் கேன்சர் என்று அழைக்கப்படும் வாய் புற்றுநோய், வாய்வழி குழியில் உருவாகிறது. இது உங்கள் வாயின் அனைத்து பகுதிகளையும் உள்ளடக்கியது. நீங்கள் வாயை அகலமாக திறந்து கண்ணாடியில் பார்த்தால் தெரியும். உதடுகளில் அல்லது வாயில் உள்ள செல்கள் மாறும்போது வாய் புற்றுநோய் உருவாகிறது. வாய் புற்றுநோய் மிகவும் பொதுவானது. ஆரம்ப நிலையிலேயே கண்டறிந்து சிகிச்சை அளித்தால் குணப்படுத்தலாம். ஒரு சுகாதார வழங்குநர் அல்லது பல் மருத்துவர் பெரும்பாலும் வாய்வழி புற்றுநோயை அதன் ஆரம்ப கட்டங்களில் கண்டுபிடிப்பார். ஏனெனில் வாய் மற்றும் உதடுகளை பரிசோதனை செய்வது எளிது. வாய்வழி புற்றுநோயின் மிகவும் பொதுவான வகை ஸ்குவாமஸ் செல் கார்சினோமா ஆகும்.

மற்ற எல்லா வகையான புற்றுநோயைப் போலவே, வாய்வழி புற்றுநோயின் ஆரம்ப அறிகுறிகளும் பெரும்பாலும் கவனிக்கப்படாமல் இருந்தால், உடலில் அதிகமாக வளரும். இருப்பினும், நோயின் பல்வேறு அறிகுறிகளை ஒருவர் கவனித்தால், புற்றுநோயின் வளர்ச்சியை ஆரம்ப நிலையிலேயே சரிபார்க்க முடியும் மற்றும் ஒரு நபர் நீண்ட காலம் வாழலாம். வாயில் புற்றுநோய் வளர்ச்சியைக் குறிக்கும் நுட்பமான அறிகுறிகளை பற்றி இக்கட்டுரையில் காணலாம்.

ஆறாத புண்
வாயில் மற்றும் உதடுகளில் புண்கள் பலருக்கு காணப்படுகின்றன. இது, முக்கியமாக வைட்டமின் சி குறைபாட்டால் ஏற்படுகின்றன. குணமடையாத புண்கள் இயற்கையில் புற்றுநோயாக இருக்கலாம் என்பதை கவனத்தில் கொள்ள வேண்டும். உங்களுக்கு வாய் புண்கள் இருந்தால், அது நீண்ட காலம் இருப்பதைக் கண்டால், மருத்துவரை அணுகி பரிசோதனை செய்வது அவசியம்.

வாயின் உட்புறத்தில் வெள்ளை திட்டுகள்
வாயின் உட்புறத்தில் வெள்ளை திட்டுக்கள் அல்லது சில நேரங்களில் சிவப்பு நிற திட்டுகள் இருப்பது புற்றுநோயைக் குறிக்கலாம். இரைப்பை பிரச்சினைகள் அல்லது வாய் தொற்று போன்ற பல காரணங்கள் இதற்குப் பின்னால் இருந்தாலும், அது உங்கள் சுவை மற்றும் பேச்சை பாதித்தால், மருத்துவ உதவியை எடுத்துக்கொள்வது நல்லது.

தளர்வான பற்கள்
எந்த காரணமும் அறிகுறிகளும் இல்லாமல் உங்கள் பற்கள் தளர்ந்து கீழே விழுந்தால், நீங்கள் தீவிரமான நோயால் பாதிக்கப்பட்டிருக்கலாம். ஆதலால், சிறிதும் தாமதிக்காமல் மருத்துவரிடம் சென்று பரிசோதனை செய்துகொள்ளுங்கள்.

வாய்க்குள் கட்டி
புற்றுநோய் கட்டிகளின் முதல் மற்றும் முக்கிய அறிகுறி ஒரு கட்டி வளர்ச்சி. வாயின் மேற்பரப்பில் ஒரு கட்டி வளர்ச்சி இருந்தால் அது நிச்சயமாக கவனிக்கப்பட வேண்டும். இதுபோன்ற சந்தர்ப்பங்களில், கட்டி தானாகவே போகும் வரை காத்திருக்க வேண்டாம். அதற்கு பதிலாக, மருத்துவரிடம் சென்று பரிசோதனை செய்யுங்கள்.

வாயில் வலி
நீண்ட காலமாக உங்களுக்கு வாயில் வலி இருக்கிறதா? இந்த விவரிக்க முடியாத வலியை மருத்துவ ரீதியாக கையாள வேண்டும். வாயில் வலிக்கு பல விளக்க காரணங்கள் இருந்தாலும், மோசமான காரணங்களை ஒருவர் நிராகரிக்கக்கூடாது. ஆதலால், உடல் ஆரோக்கியத்தில் மிகவும் கவனமாக இருக்க வேண்டும்.

காதில் வலி
எந்த நோய் தொற்றும் ஏற்படாமல் உங்கள் காதுகளில் வலி இருந்தால், தயவுசெய்து நிபுணரிடம் சென்று காது, மூக்கு மற்றும் தொண்டையை முழுமையாக பரிசோதிக்கவும். காதில் சொட்டு மருந்துகளைப் பயன்படுத்துவதன் மூலமோ அல்லது வீட்டு வைத்தியம் மூலம் மருத்துவரின் சந்திப்புகளைத் தாமதப்படுத்தாதீர்கள்.

விழுங்குவதில் வலி
வாயில் புற்றுநோய் வளர்ச்சி இருந்தால், நிச்சயமாக நீங்கள் சாப்பிடும் முறையை பாதிக்கும். மெல்லுவது முதல் விழுங்குவது வரை, வாயில் புற்றுநோய் செல்களின் வளர்ச்சி வாயின் ஒவ்வொரு இயல்பான செயல்பாட்டையும் பாதிக்கும். உணவை விழுங்குவதில் சிரமம் இருந்தால், காத்திருக்க வேண்டாம், உடனடியாக மருத்துவரை அணுகவும்.

வாய்வழி நோய்கள்
உலக சுகாதார அமைப்பின் (எச் ஓ டபுள் யு) கூற்றுப்படி, பல்வேறு வகையான வாய்வழி புற்றுநோய் உட்பட வாய்வழி நோய்கள் உலகளவில் 3.5 பில்லியன் மக்களை பாதிக்கின்றன. பல்வேறு வகையான வாய்வழி நோய்கள்: பல் சொத்தை அல்லது பல் சிதைவு, பல் நோய் அல்லது ஈறுகளின் நோய், ஓரோ பல் அதிர்ச்சி, நோமா- வாய், உதடு மற்றும் அண்ணம் பிளவு ஆகியவற்றில் உள்ள குடலிறக்க நோய்.

புகையிலை மற்றும் மது அருந்துதல்
உதடு மற்றும் வாய்வழி குழியின் புற்றுநோய்களின் உலகளாவிய நிகழ்வுகள் ஒரு லட்சம் பேருக்கு 4 வழக்குகள் என மதிப்பிடப்பட்டுள்ளது. உலக சுகாதார நிறுவனம் கூறுகிறது மற்றும் இந்த வகை புற்றுநோய் ஆண்கள் மற்றும் வயதானவர்களுக்கு மிகவும் பொதுவானது. வாய் புற்றுநோய்க்கான ஆபத்து காரணிகள் புகையிலை மற்றும் மது அருந்துதலும் ஆகும்.



Click it and Unblock the Notifications











