Latest Updates
-
நெகட்டிவா யோசிக்கிறதுல இந்த 4 ராசிக்காரங்கள யாராலும் மிஞ்ச முடியாதாம்... உங்க ராசி என்ன? -
முட்டை இருந்தா.. ஒருடைம் ஈவ்னிங்-ல இப்படி வடை செஞ்சு சாப்பிடுங்க.. ருசியானதும், சத்தானதும் கூட.. -
திமுக, அதிமுக இரண்டு திராவிட கட்சிகளாலும் ஜெயிக்கவே முடியாத தமிழ்நாட்டின் 2 தொகுதிகள் என்னென்ன தெரியுமா? -
ஏப்ரல் மாத கிரக பெயர்ச்சிகளால் இந்த 5 ராசிக்காரர்களின் வாழ்க்கையில் எதிர்பாராத பல மாற்றங்கள் ஏற்படப்போகுது.. -
தக்காளி பிரியாணி ரெசிபி... இந்த மாதிரி செஞ்சு செஞ்சு பாருங்க... பிரியாணியை விட சூப்பரா இருக்கும்...! -
சுரைக்காயை இப்படி ஒருடைம் தொக்கு செய்யுங்க.. சூடான சாதத்துக்கு செமயா இருக்கும்... -
மீண்டும் புதிதாக உருவெடுத்து அமெரிக்காவில் பரவும் கொரோனா- இது எவ்வளவு ஆபத்தானது? இதன் அறிகுறிகள் என்ன? -
பாபா வாங்காவின் கணிப்பு படி அமெரிக்கா-ஈரான் போர் இந்தியா மீது என்ன தாக்கத்தை ஏற்படுத்தும் தெரியுமா? -
12 ஆண்டுகள் கழித்து கடகம் செல்லும் குரு பகவான்: மே முதல் இந்த 3 ராசிக்கார்களின் அதிர்ஷ்ட கதவு திறக்கப்போகுது.. -
ஏப்ரல் மாதத்தில் உருவாகும் இரட்டை ராஜயோகம்: இந்த 4 ராசிக்காரங்க கோடிகளில் சம்பாதிக்கப் போறாங்களாம்...!
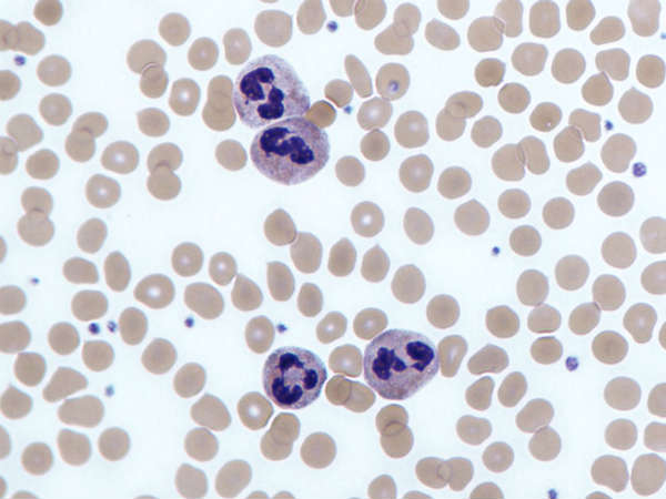
உடலில் நியூட்ரோஃபில்ஸ் அளவுக்கு அதிகமானால் என்ன ஆகும் என்று தெரியுமா?
நியூட்ரோஃபில்ஸ் என்பது ஒரு வகையான ரத்த அணுக்களின் வகையாகும்.. இதை கொண்டு தான் உங்கள் உடல் தொற்றுக்களை எதிர்த்து போராடும். தொற்றின் காரணமாக தான் நியூட்ரோஃபில் அளவுகள் அதிகரிக்கும். இது போக இதர மருத்துவ நிலைகள் மற்றும் குறிப்பிட்ட சில மருந்துகளாலும் கூட இது ஏற்படலாம்.
உடல் ரீதியான அல்லது மன ரீதியான அழுத்தம், புகைப்பிடிக்கும் பழக்கம் போன்ற காரணங்களாலும் கூட நியூட்ரோஃபில் அளவுகள் அதிகரிக்கும். நியூட்ரோஃபில் அளவுகள் அதிகமாக இருக்கையில் எந்த ஒரு தீவிர பிரச்சனையையும் சுட்டிக்காட்டாது. உங்களின் நியூட்ரோஃபில் அளவு அல்லது எண்ணிக்கை அதிகமாக இருக்கிறது என மருத்துவர் கூறினால் அவரிடம் கலந்தாலோசிக்க வேண்டும்.

அதிகரித்த நியூட்ரோஃபில் அளவுகளுக்கு பின்னான வழக்கமான படிகள்
பொதுவாக, அதிகரித்த நியூட்ரோஃபில் அளவுகளின் தனிமைப்படுத்தப்பட்ட நிகழ்வுகள் ஆபத்தை ஏற்படுத்துவதில்லை. பல நேரங்களில், தானாகவே இந்த அளவு கொஞ்சம் கொஞ்சமாக இயல்பு அளவுக்கு வந்துவிடும். அப்படிப்பட்ட சூழ்நிலையில் இதற்கென எந்த ஒரு சிகிச்சையும் தேவைப்படாது. உங்கள் நியூட்ரோஃபில் அளவுகள் இயல்பு நிலைக்கு திரும்பிவிட்டதை உறுதி செய்ய, மீண்டும் ஒரு இரத்த பரிசோதனையை மேற்கொள்ள மருத்துவர் பரிந்துரைப்பார்.

உங்கள் மருத்துவரிடம் பேசுங்கள்
உங்கள் நியூட்ரோஃபில் அளவுகள் அதிகமாக இருந்தால், உங்கள் மருத்துவ வரலாற்றை உங்கள் மருத்துவர் கேட்பதற்கு வாய்ப்புகள் உள்ளது. அப்படிப்பட்ட சூழ்நிலையில் நீங்கள் எடுத்து வரும் மருந்துகளைப் பற்றி தவறாமல் உங்கள் மருத்துவரிடம் தெரிவித்து விடுங்கள். குறிப்பாக ஸ்ட்டீராய்டுகள் உங்களின் நியூட்ரோஃபில் அளவுகளை அதிகரிக்கக்கூடும். மேலும் சமீபத்தில் நீங்கள் ஏதேனும் நோய்வாய்பட்டீர்களா அல்லது ஏதேனும் உடல் ரீதியான அல்லது மன ரீதியான அழுத்தத்திற்கு உள்ளானீர்களா என்பதையும் உங்கள் மருத்துவரிடம் கூறி விடுங்கள். ஏன், இரத்த பரிசோதனை எடுக்கப்படும் நாளன்று காலையில் விடாமல் ஓடுவதாலும் கூட உங்கள் நியூட்ரோஃபில் அளவுகள் அதிகரிக்கலாம். கர்ப்பமாக இருந்தாலோ அல்லது ஏதேனும் தோற்று இருந்தாலோ அல்லது ஏதேனும் உடல் ரீதியான காயங்கள் இருந்தாலோ கூட, உங்கள் நியூட்ரோஃபில் அளவுகள் அதிகரிக்கும். நீங்கள் புகைப்பிடிக்கும் பழக்கத்தை கொண்டவரானால் கண்டிப்பாக அந்த பழக்கத்தை கைவிடுமாறு உங்கள் மருத்துவர் பரிந்துரைப்பார்.

கூடுதல் சோதனைகள்
மீண்டும் எடுக்கப்படும் இரத்த பரிசோதனையில் நியூட்ரோஃபில் அளவு குறையவில்லை என்றாலோ அல்லது ஏதேனும் ஒரு நிலை தான் இந்த நியூட்ரோஃபில் அளவு அதிகரிப்பதற்கு காரணமாக உள்ளது என்று மருத்துவர் சந்தேகித்தாலோ, கூடுதல் சோதனைகளை மேற்கொள்ள உங்கள் மருத்துவர் பரிந்துரைப்பார். இதனால் நியூட்ரோஃபில் அளவு ஏன் அதிகரிக்கிறது என்பதை புரிந்து கொள்ளலாம். பல்வேறு தரப்பட்ட தொற்றுக்கள், அழற்சி நிலைகள் மற்றும் சில புற்று நோய்களுக்காக குறிப்பிட்ட இரத்த சோதனை மேற்கொள்ளப்படும்.

அதிகரித்துள்ள நியூட்ரோஃபில்லை கண்காணித்தல் மற்றும் குணப்படுத்துதல்
நியூட்ரோஃபில் அளவை அதிகரிக்கும் பின்னணியை நீங்கள் கண்டறிந்து விட்டால், அந்த நிலையை பொறுத்து, அதற்கான சிகிச்சைகள் பரிந்துரைக்கப்படும். உங்கள் நியூட்ரோஃபில் அளவு தொடர்ந்து அதிகரித்த நிலையிலேயே இருந்தால், நியூட்ரோஃபில் அளவை மீண்டும் பரிசோதிக்க, சீரான இடைவேளையில் இரத்த சோதனை மேற்கொள்ள உங்கள் மருத்துவர் பரிந்துரைப்பார்.



Click it and Unblock the Notifications











