Latest Updates
-
இந்த கஞ்சியை தினமும் காலையில் 1 கப் குடிங்க.. உடல் எடை ஜெட் வேகத்தில் குறையும்... -
இன்றைய ராசிபலன் 10 மார்ச் 2026: இன்று இந்த 4 ராசிக்காரர்களுக்கு துரதிர்ஷ்டம் துரத்தும் நாளாக இருக்குமாம்...! -
மீனத்தில் உருவாகும் திரிகிரக யோகம்: தனுசு உள்ளிட்ட 3 ராசிக்கு தொழிலில் நல்ல முன்னேற்றம் ஏற்படும்... -
முடி அதிகமா கொட்டுதா? அப்ப தேங்காய் எண்ணெயுடன் இந்த எண்ணெயை சேர்த்து யூஸ் பண்ணுங்க.. -
300 ஆண்டுக்கு பின் உருவாகும் சுக்ராதித்ய யோகம் 2026: இந்த 3 ராசிக்காரர்களுக்கு கோடீஸ்வர யோகம் தேடிவரப்போகுதாம் -
கொய்யாக்காய் வாங்குனா இந்த மாதிரி சட்னி அரைச்சு பாருங்க... இட்லி, தோசைக்கு வித்தியாசமா சூப்பரா இருக்கும்...! -
1 கப் ராகி மாவும், 1/2 கப் தேங்காயும் இருந்தா.. ஈவ்னிங் டைம்-ல இந்த ஸ்நாக்ஸை ட்ரை பண்ணுங்க.. -
மரணமிலா வாழ்க்கையை வாழ்வதற்கு ஒரு வழி கிடைத்துவிட்டது..ஆனா இதுக்கு எவ்வளவு செல்வாகும் தெரியுமா? ஷாக் ஆகாதீங்க! -
சுக்கிரனின் நட்சத்திர பெயர்ச்சி: மார்ச் 15 முதல் இந்த 5 ராசிக்காரங்க பண விஷயத்துல கவனமா இருக்கணும்.. -
முருங்கைக்கீரையை இந்த மாதிரி கேரளா ஸ்டைலில் தோரன் செஞ்சு சாப்பிடுங்க..சுவையாவும், ஆரோக்கியமாகவும் இருக்கும்..!
உங்க ஈரல்ல கெட்ட நீர் தேங்கியிருந்தா எப்படி கண்டுபிடிக்கிறது?... இதோ இப்படிதான்...
உங்க ஈரல்ல கெட்ட நீர் தேங்கியிருந்தா எப்படி கண்டுபிடிக்கிறது?... இதோ இப்படிதான்...
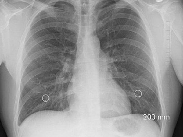
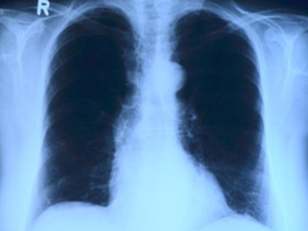
நுரையீரலில் நீர் தேக்கம் என்பது பல்வேறு உடல் உபாதைகளுக்கான அறிகுறியாக இருக்க முடியும். நிமொனியாவின் சில வடிவங்களுக்கு இது ஒரு பொதுவான அறிகுறியாகப் பார்க்கப்படுகிறது. ஆனால் நுரையீரல் புற்றுநோய் காரணமாகவும் இந்த நீர் தேக்கம் ஏற்படலாம்.

அல்லது மிகவும் அரிதாக இடைத்தோலியப் புற்று நோய் எனப்படும் மெசொதேலியோமாவின் காரணமாக இருக்க முடியும். அதனால் நுரையீரலில் நீர் தேக்கம் உள்ளதற்கான அறிகுறிகள் தென்பட்டால், உடனடியாக மருத்துவ ஆலோசனைப் பெறுவது நல்லது.

தடித்த அல்லது பயமுறுத்தக்கூடிய சுவாசம்
மூச்சை இழுத்து விடும்போது தடித்த அல்லது பயமுறுத்தக்கூடிய ஒரு சத்தம் மார்பின் ஆழத்தின் இருந்து ஒலிப்பது, நுரையீரலில் நீர் இருப்பதை உறுதி செய்கிறது. சில நேரங்களில் மூச்சுக் குழாய் அழற்சி காரணமாகவும் இந்த நிலை ஏற்படலாம். மருத்துவ பரிசோதனையில் இந்த பாதிப்பின் காரணம் தீர்மானிக்கப்படலாம்.

தொடர்ந்து இருமல் இருந்தால் அதனை கவனிக்கவும்
சிறிய ஒவ்வாமை அல்லது தொடர்ச்சியான இருமல் போன்றவற்றை கவனிக்காமல் விடுவது நல்லதல்ல. தொடர்ச்சியான இருமல், தானாக வந்தாலும், நீங்களாகவே இருமினாலும் அது நுரையீரலில் உள்ள நீர் தேக்கத்தின் அறிகுறியாக இருக்க முடியும் என்பதால் அதனைப் புறக்கணிக்க வேண்டாம். நுரையீரல் புற்று நோயின் ஆரம்ப கட்ட அறிகுறியாகவும் இதனைப் பார்க்க முடியும், அல்லது வேறு தீவிர நோய் பாதிப்பின் காரணமாகவும் இருக்கலாம் என்பதால் முழுமையான நோய்க்கண்டறிதல் முறையை கையாள்வது அவசியம்.

காய்ச்சல், வலி மற்றும் சோர்வு
நுரையீரலில் திரவம் சேர்ந்திருந்தால், ஃப்ளு போன்ற காய்ச்சல் ஏற்படலாம். நுரையீரலில் நீர் சேர்வதால், ஒரு நபருக்கு வைரல் நிமோனியா பாதிக்கலாம் அல்லது நுரையீரலில் அல்லது மூச்சுக்குழாயில் தொற்று பாதிப்பு ஏற்படலாம். 102Fஐ விட அதிக காய்ச்சல் இருந்தால் மருத்துவ உதவியை உடனடியாக நாடுவது அவசியம்.

மூச்சுத்திணறல் இருந்தால் கவனிக்கவும்
சில நோயாளிகளுக்கு நுரையீரலில் நீர் தேங்கி இருப்பதை உணர்த்தும் முக்கிய அறிகுறியாக இருப்பது மூச்சுத்திணறல். இதய செயலிழப்பு, நுரையீரல் புற்றுநோய், அல்லது வைரஸ் மற்றும் பக்டீரியா தொற்று போன்றவற்றின் காரணமாக நுரையீரலில் நீர் தேக்கம் ஏற்படலாம். இதனால் மூச்சுத்திணறல் ஏற்படுகிறது.

குறிப்பு
பெரும்பாலும் ஒரு எக்ஸ்ரே அல்லது EKG எடுத்துப் பார்த்து, எந்த இடத்தில் திரவம் சேர்ந்துள்ளது என்பது பரிசோதனையில் கண்டறியப்படும். இதன் மூலமாக, முன்கூட்டியே நுரையீரல் புற்றுநோய் ஏற்படக் கூடிய வாய்ப்பு களையப்படும்.
நுரையீரலில் நீர் தேக்கம் இருந்தால், அதிகமான அளவு ஓய்வு எடுப்பது மற்றும் குளிர் காற்றுக்கு வெளிப்படாமல் இருப்பது போன்றவை அவசியமாகும். நுரையீரலில் திரவ சேர்க்கை இருப்பதால் தெளிவான திரவங்கள் அடிக்கடி அதிகம் எடுத்துக் கொள்வது பரிந்துரைக்கப்படுகிறது. மருத்துவ் ஆலோசனையை அடிக்கடி பெற்றுக் கொள்ளவும்.



Click it and Unblock the Notifications











