Latest Updates
-
இன்றைய ராசிபலன் 11 மார்ச் 2026: இன்று இந்த 4 ராசிக்காரங்களுக்கு மனஉளைச்சலான நாளாக இருக்குமாம்...! -
குரு-புதன் உருவாக்கும் சக்தி வாய்ந்த ராஜயோகம்: இந்த 3 ராசிக்கு டபுள் ஜாக்பாட் அடிக்கப்போகுது... -
தமிழ்நாட்டில் உள்ள சர்க்கரை நோயை குணப்படுத்தும் 1,300 ஆண்டுகள் பழமையான இந்த கோயில் பற்றி தெரியுமா? -
1 கப் ரவை இருந்தா.. ஈவ்னிங் கண்டிப்பா இந்த ஸ்நாக்ஸை ட்ரை பண்ணுங்க.. செமயா இருக்கும்.. -
1 வருடம் கழித்து மீனம் செல்லும் சூரியன்: மார்ச் 15 முதல் இந்த 4 ராசிக்காரங்க எச்சரிக்கையா இருக்கணும்.. -
கல்யாண வீட்டு தஞ்சை வத்தக்குழம்பு - எப்படி செய்றது-ன்னு பாத்து செஞ்சு பாருங்க.. டேஸ்ட் அள்ளும்.. -
World Kidney Day 2026: சிறுநீரகங்கள் ஆரோக்கியமா இருக்கணுமா? அப்ப டாக்டர் சொல்ற இந்த 5 உணவுகளை சாப்பிடுங்க.. -
ராகு-கேதுவால் உருவாகியுள்ள கால சர்ப்ப யோகம்: இந்த 3 ராசிக்கு மார்ச் 26 வரை வெற்றியும், பணமும் குவியப்போகுது... -
இந்த கஞ்சியை தினமும் காலையில் 1 கப் குடிங்க.. உடல் எடை ஜெட் வேகத்தில் குறையும்... -
இன்றைய ராசிபலன் 10 மார்ச் 2026: இன்று இந்த 4 ராசிக்காரர்களுக்கு துரதிர்ஷ்டம் துரத்தும் நாளாக இருக்குமாம்...!
ஆபத்தான வெள்ளை பூஞ்சை தொற்றுநோயின் அறிகுறிகள்... யாருக்கெல்லாம் வர வாய்ப்பிருக்கிறது தெரியுமா?
பல மாநிலங்களில் ஆபத்தான கருப்பு பூஞ்சை தொற்றால் நோயாளிகளின் எண்ணிக்கை அதிகரித்து வரும் சூழலில் பீகார் தலைநகர் பாட்னாவில் வெள்ளை பூஞ்சை தொற்றால் பாதிக்கப்பட்ட 4 நோயாளிகள் கண்டறியப்பட்டுள்ளனர்.
கொரோனவைத் தொடர்ந்து கருப்பு பூஞ்சை கொரோனா நோயாளிகள் சந்திக்கும் புதிய பிரச்சினையாகும். இந்தியா முழுவதும் தொடர்ந்து கருப்பு பூஞ்சையால் பாதிக்கப்படுபவர்களின் எண்ணிக்கை அதிகரித்துக் கொண்டே வருகிறது. இதனைத் தொடர்ந்து மாநில அரசுகள் கருப்பு பூஞ்சை நோயை தொற்றுநோயாக அதிகரிக்கும்படி மத்திய சுகாதாரத் துறை அறிவித்துள்ளது.

பல மாநிலங்களில் ஆபத்தான கருப்பு பூஞ்சை தொற்றால் நோயாளிகளின் எண்ணிக்கை அதிகரித்து வரும் சூழலில் பீகார் தலைநகர் பாட்னாவில் வெள்ளை பூஞ்சை தொற்றால் பாதிக்கப்பட்ட 4 நோயாளிகள் கண்டறியப்பட்டுள்ளனர். இந்த நோய் கருப்பு பூஞ்சை தொற்றை விட ஆபத்தானதாக கருதப்படுகிறது. இதன் சிக்கலான அறிகுறிகள் என்னென்ன, யாரெல்லாம் இந்த நோயால் பாதிக்கப்படலாம் என்று இந்த பதிவில் பார்க்கலாம்.

வெள்ளை பூஞ்சை தொற்று நோய் என்றால் என்ன?
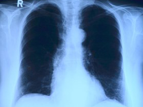
இதுவரை அறியப்பட்டவற்றிலிருந்து, ஒரு வெள்ளை பூஞ்சை தொற்று இயற்கையாகவே மிகவும் கடுமையானதாக இருக்கலாம், மேலும் இது பல அறிகுறிகளை ஏற்படுத்தக்கூடும். கருப்பு பூஞ்சை தொற்று நோய் வெளிப்படுத்தும் முகவீக்கம், பார்வைக் குறைபாடு போன்ற வெளிப்படையான அறிகுறிகளாக இல்லாமல் மருத்துவர்கள் HRCT போன்ற மார்பு ஸ்கேன் செய்வதன் மூலம் மட்டுமே இதனை கண்டறிய முடியும் என்று பரிந்துரைக்கின்றனர்.

வெள்ளை பூஞ்சை தொற்று எப்படி பாதிக்கிறது?
வெள்ளை மற்றும் கருப்பு பூஞ்சை தொற்று இரண்டும் பூஞ்சை அச்சுகளால் ஏற்படுகின்றன, அவை சூழலில் இருக்கும் 'மியூகோர்மைசெட்டுகள்' என அழைக்கப்படுகின்றன. நோய் தொற்று இல்லை என்றாலும், ஒரு நபர் நோய்த்தொற்றுக்கு ஆளாக நேரிடும் என்று கூறப்படுகிறது, ஏனெனில் இந்த பூஞ்சை தொற்றை ஒரு நோயாளி எளிதில் சுவாசிக்க முடியும், இது மேலும் முக்கிய உறுப்புகளுக்கு பரவி சிக்கல்களை ஏற்படுத்தும். நீர் மற்றும் பிற சுகாதாரமற்ற சூழல்கள் போன்ற இந்த அச்சுகளைக் கொண்டிருக்கும் எந்தவொரு மேற்பரப்புடனும் தொடர்பு கொண்டால் நோயெதிர்ப்பு குறைபாடுள்ள யார் வேண்டுமென்றாலும் தொற்றுநோயால் தாக்கப்படலாம் ன்பதைக் கவனத்தில் கொள்ள வேண்டும்.

கருப்பு பூஞ்சை Vs. வெள்ளை பூஞ்சை
கருப்பு பூஞ்சை தொற்று அபாயகரமானதாக இருந்தாலும், வெள்ளை பூஞ்சை தொற்றுநோயை இன்னும் ஆபத்தானதாக மாற்றுவது, அது முக்கிய உறுப்புகளுக்கு பரவுவதும் மற்றும் ஆழமான சேதத்தை ஏற்படுத்துவதும்தான். மூளை, சுவாச உறுப்புகள், செரிமானப் பாதை, சிறுநீரகங்கள் மற்றும் அந்தரங்க உறுப்புகளைக் கூட பாதிக்கும் திறன் கொண்டது வெள்ளை பூஞ்சை தொற்று.

யாரெல்லாம் ஆபத்தில் உள்ளார்கள்?
நீரிழிவு, புற்றுநோய் மற்றும் பிற கொமொர்பிடிட்டிகள் போன்ற நோய்களால் பாதிக்கப்படுபவர்களுக்கு, தொடர்ந்து ஸ்டீராய்டு பயன்பாடு தேவைப்படுகிறது, மேலும் இவர்கள் தொற்றுநோயைப் பிடிக்கும் அபாயத்தையும் எதிர்கொள்ளக்கூடும். சில அறிக்கைகள் பெண்கள் மற்றும் குழந்தைகள் தொற்றுநோய்க்கான கூடுதல் அபாயங்களை எதிர்கொள்கின்றன. கருப்பு பூஞ்சை தொற்றை பொறுத்தவரை இந்த அபாயங்கள் இல்லாமல் இருந்தது. கருப்பு பூஞ்சை போலவே, ஒரு நபர் சுகாதாரமற்ற மேற்பரப்புகளுடன் தொடர்பு கொள்ளும்போது வெள்ளை பூஞ்சையும் பரவக்கூடும் என்றும் மருத்துவர்கள் எச்சரிக்கின்றனர். குறிப்பாக, நீடித்த ஆக்ஸிஜன் ஆதரவில் உள்ள நோயாளிகளுக்கு, மாசடைந்த நீர் ஆதாரங்கள் மூலம் பரவுவதற்கான ஒரு ஆதாரமாக இருக்கலாம், இது மருத்துவமனையில் சேர்க்கப்பட்ட COVID நோயாளிகளிடையே வெள்ளை பூஞ்சைதொற்று அதிகரிக்க இதுதான் காரணம் என்று மருத்துவர்கள் கூறுகின்றனர்.

வெள்ளை பூஞ்சை தொற்றின் அறிகுறிகள்?
இப்போது அதிகளவு நோயாளிகளிடம் காணப்படுவது போல, வெள்ளை பூஞ்சை தொற்றுடன் கண்டறியப்பட்ட பெரும்பாலான மக்கள் COVID-19 ஐ ஒத்த சுவாச அறிகுறிகளைக் கொண்டிருந்தனர், ஆனால் வைரஸுக்கு எதிர்மறையான பரிசோதனை முடிவை பெற்றனர். எக்ஸ்ரே அல்லது மார்பு ஸ்கேன் மட்டுமே நோய் எவ்வளவு கடுமையானது, மற்றும் முக்கிய உறுப்புகள் எவ்வாறு பாதிக்கப்பட்டுள்ளது என்பதை துல்லியமாக கணிக்க முடியும் என்று நிபுணர்கள் தெரிவிக்கின்றனர்.

சுவாச சிக்கல்கள்
இந்த விஷயத்தில் இதுவரை போதுமான தகவல்கள் கிடைக்கவில்லை என்றாலும், பெரும்பாலான மருத்துவர்கள் வெள்ளை பூஞ்சை, மார்பு மற்றும் நுரையீரலைப் பாதிக்கக்கூடும் என்று பரிந்துரைக்கின்றனர், எனவே ஒருவர் இருமல், மார்பு வலி, மூச்சுத் திணறல் போன்ற அறிகுறிகளை பெறலாம். இது தவிர, தொற்று வீக்கம், நோய்த்தொற்றுகள், தொடர்ச்சியான தலைவலி போன்ற பல அழற்சி அறிகுறிகளையும் ஏற்படுத்தும். கூடுதலாக, கொரோனா வைரஸிலிருந்து குணமடையும் நோயாளிகளும் அடிப்படை நிலைமைகள் மற்றும் சிகிச்சைகள் காரணமாக வெள்ளை பூஞ்சை தொற்று அபாயத்தை எதிர்கொள்ளலாம்.



Click it and Unblock the Notifications











