Latest Updates
-
இந்த கஞ்சியை தினமும் காலையில் 1 கப் குடிங்க.. உடல் எடை ஜெட் வேகத்தில் குறையும்... -
இன்றைய ராசிபலன் 10 மார்ச் 2026: இன்று இந்த 4 ராசிக்காரர்களுக்கு துரதிர்ஷ்டம் துரத்தும் நாளாக இருக்குமாம்...! -
மீனத்தில் உருவாகும் திரிகிரக யோகம்: தனுசு உள்ளிட்ட 3 ராசிக்கு தொழிலில் நல்ல முன்னேற்றம் ஏற்படும்... -
முடி அதிகமா கொட்டுதா? அப்ப தேங்காய் எண்ணெயுடன் இந்த எண்ணெயை சேர்த்து யூஸ் பண்ணுங்க.. -
300 ஆண்டுக்கு பின் உருவாகும் சுக்ராதித்ய யோகம் 2026: இந்த 3 ராசிக்காரர்களுக்கு கோடீஸ்வர யோகம் தேடிவரப்போகுதாம் -
கொய்யாக்காய் வாங்குனா இந்த மாதிரி சட்னி அரைச்சு பாருங்க... இட்லி, தோசைக்கு வித்தியாசமா சூப்பரா இருக்கும்...! -
1 கப் ராகி மாவும், 1/2 கப் தேங்காயும் இருந்தா.. ஈவ்னிங் டைம்-ல இந்த ஸ்நாக்ஸை ட்ரை பண்ணுங்க.. -
மரணமிலா வாழ்க்கையை வாழ்வதற்கு ஒரு வழி கிடைத்துவிட்டது..ஆனா இதுக்கு எவ்வளவு செல்வாகும் தெரியுமா? ஷாக் ஆகாதீங்க! -
சுக்கிரனின் நட்சத்திர பெயர்ச்சி: மார்ச் 15 முதல் இந்த 5 ராசிக்காரங்க பண விஷயத்துல கவனமா இருக்கணும்.. -
முருங்கைக்கீரையை இந்த மாதிரி கேரளா ஸ்டைலில் தோரன் செஞ்சு சாப்பிடுங்க..சுவையாவும், ஆரோக்கியமாகவும் இருக்கும்..!
சாப்பிட்டதும் வயிற பிசையுதா? சும்மா விட்றாதீங்க... அது வைப்பிள் நோயாகூட இருக்கலாம்...
நமது குடலில் ஆபூர்வமாக வரும் இந்த விப்பிள் நோய் பற்றித்தான் இந்த கட்டுரையில் விளக்கமாகப் பார்க்கப் போகிறோம். அது பற்றிய விரிவான காரணங்கள், அறிகுறிகள், சிகிச்சை ஆகியவற்றைப் பற்றி பேசும் தொகுப்பு தான் இ
இந்த விப்பிள் நோய் துரோபெரைமா விப்ளெய் என்ற அரியவகை பாக்டீரியாவினால் ஏற்படும் தொற்று நோயாகும். இது நமது மூட்டு பகுதிகள் மற்றும் சீரண மண்டலத்தை பாதிப்படையச் செய்து விடும். இந்த பாக்டீரியா தொற்று குடலில் உணவை சிதைப்பதற்கான செயலை குறைப்பதோடு ஊட்டச்சத்துகளை உறிஞ்சும் செயலையும் தடுத்து விடும்.

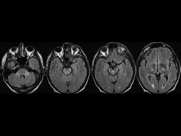
அதே மாதிரி இந்த விப்பிள் நோய் நமது உடல் உறுப்புகளான இதயம், மூளை மற்றும் கண்களை பாதிக்க கூடியது. இதற்கு சரியான சிகிச்சை அளிக்காவிட்டால் அம்மாவிடம் இருந்து கருவில் வளரும் குழந்தைக்கும் பரவக் கூடியது. எனவே சரியான நேரத்தில் சிகிச்சை அளிப்பது மிகவும் முக்கியம்.

என்ன ஆகும்?
இந்த நோயால் பாதிக்கப்பட்ட மக்களின் 40% மக்கள் நரம்பு சம்பந்தமான பிரச்சினைகள், கண்களில் பாதிப்பு மற்றும் முக தசைகளில் பிரச்சினைகள், டிமென்ஷியா, வலிப்பு, நினைவாற்றல் இழப்பு, பலவீனம் மற்றும் தலைவலி போன்ற ஏகப்பட்ட பிரச்சினைகள் ஏற்படும். இந்த தீவிரமான நோயின் அறிகுறிகள், சிகிச்சைகள் பற்றி இங்கே காணலாம்.

விப்பிள் நோய் என்றால் என்ன?
இந்த விப்பிள் நோய் 1907 ஆம் ஆண்டு பரவியது. இது நமது உடலில் உள்ள கொழுப்பு உறிஞ்சுவதற்கான மெட்டா பாலிச செயலுக்கு இடையூறு அளிக்கிறது. மேலும் இது உடல் உறுப்புகளான இதயம், மூட்டு வலிகள், மூளை, கண்கள் மற்றும் நுரையீரல் போன்ற உறுப்புகளையும் பாதிக்கிறது. இது நமது குடலியக்கத்தைத் தான் முதலில் தாக்கும்.
இந்த நோய் பொதுவாக ஆண்களை அதிகம் தாக்கக் கூடியது. நரம்பு சம்பந்தமான பிரச்சினைகள், அடிவயிற்றில் வலி போன்றவை ஏற்படும். சில சமயங்களில் நோயாளிகளுக்கு ஆன்டிபாயாடிக் கொடுத்தே தொற்றை சரி செய்து விடலாம். இல்லாவிட்டால் நீண்ட நாள் சிகச்சைக்கு மருத்துவர்கள் பரிந்துரைப்பார்கள். கிட்டத்தட்ட 87% மக்கள் இந்த நோயால் பாதிப்படைகின்றனர். அதிலும் 40-60 வயது ஆண்கள் அதிகளவில் பாதிக்கப்படுகின்றனர் என்று புள்ளி விவரங்கள் தெரிவிக்கின்றன.

அறிகுறிகள்
உடல் எடை குறைப்பு (சத்துக்கள் சரியாக உறிஞ்சாமல் ஏற்படும் விளைவு)
பலவீனம்
வயிற்று வலி
அனிமியா
சோர்வு
சூரிய ஒளியால் சீக்கிரமே தோல் கருப்பாகுதல்.
எண்டோடார்டிடிஸ்
மூச்சு விட சிரமம் மற்றும் கால்களில் நீர்த்தேக்கம்
இதயத்தில் அழற்சி ஏற்பட்டு இரத்த ஓட்டம் தடைபடுதல்.
நரம்பு மண்டலத்தில் ஏற்படும் அறிகுறிகள்
இன்ஸோமினியா
டிமென்ஷியா
முகத்தில் உணர்வின்மை
கண்களில் பிரச்சினை
காது கேட்காமல் போகுதல்
நினைவாற்றல் இழப்பு
அசைய முடியாமல் போதல்.

காரணங்கள்
இந்த விப்பிள் நோய் துரோபெரைமா விப்ளெய் என்ற பாக்டீரியால் ஏற்படுகிறது. இந்த பாக்டீரியா நமது சிறுகுடலின் சுவர்களை பாதித்து அங்கே கட்டிகளை உருவாக்குகிறது. இது சிறுகுடலின் வளைவு பகுதியையும் பாதிக்கிறது. இந்த பாக்டீரியா எப்படி மனிதரை தொற்றுகிறது என்பது குறித்து ஆராய்ச்சிகள் நடந்து வருகின்றன.

ஆராய்ச்சிகள்
சில ஆராய்ச்சிகளின் முடிவுகளின் படி பரம்பரை ரீதியாக நோயெதிர்ப்பு மண்டலத்தில் ஏற்படும் பிரச்சினையால் உண்டாகிறது என்கின்றனர். ஆனால் இது ஒரு அரிதான நோய் தான். 1 மில்லியன் மக்களில் ஒருத்தர் இதனால் பாதிப்படைகின்றனர்.

யாரை பாதிக்கும்?
இந்த நோய் விவசாயிகள், வெளிப்புற வேலை செய்பவர்கள், மண்ணில் இறங்கி வேலை செய்பவர்கள், தேங்கி கிடந்த தண்ணீர் போன்ற இடங்களில் வேலை செய்பவர்களுக்கு வருகிறது. இது ஒருத்தரிடமிருந்து மற்றவருக்கு பரவுவது அரிதானது தான்.

கண்டறிதல்
இரத்த பரிசோதனை
எண்டோஸ்கோபி, எண்ட்ரோஸ்கோபி
உடல் நல பரிசோதனைகள்
மருந்து மற்றும் குடும்ப வரலாறு
அதே மாதிரி மருத்துவர் சிகிச்சை ஆரம்பிப்பதற்கு முன்பு கீழ்க்கண்ட பிரச்சினைகள் இருக்கலாமா என்பதை பரிசோதித்து கொள்வார்.
செலியக் நோய்
அழற்சிக்குரிய ருமாட்டிக் நோய்
நரம்பியல் நோய்
உள் அடிவயிற்று லிம்போமா
எய்ட்ஸ் உடைய மக்களுக்கு ஏற்படும் தொற்று

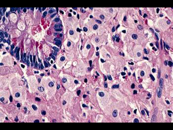
பயாப்ஸி
சிறுகுடலின் சுவரிலிருந்து சிறுதளவு திசுக்களை எடுத்து பரிசோதனை செய்கின்றனர். இந்த திசுக்களை மைக்ரோஸ்கோப் வழியாக ஆய்வு செய்து பாக்டீரியா தாக்கம் இருக்கிறதா, கட்டிகள் இருக்கிறதா என்பதை பார்க்கிறார்கள்.

சிகிச்சைகள்
நோயாளிகளுக்கு ஆன்டிபாயாடிக் மருந்துகள் கொடுத்து தொற்றை சரி செய்கின்றனர். சில சமயங்களில் 1 அல்லது 2 வருடங்கள் வரை கூட சிகச்சை அளிக்கப்படுகிறது. மூளை மற்றும் நரம்பு மண்டலம் பாதிக்கப்படாமல் இருந்தால் ஆன்டி பயாடிக் மருந்துகளைக் கொண்டே சரி செய்து விடலாம்.
ஆன்டி பயாடிக் மருந்துகள் மூலம் உடலில் உள்ள பாக்டீரியாக்களை அளிப்பதோடு, மூளை மற்றும் நரம்பு மண்டலத்திலும் பாக்டீரியாக்கள் நுழைந்து இருந்தால் அதற்கும் சிகிச்சை அளிக்க வேண்டியது அவசியம்.

பென்சிலின் மருந்துகள்
முதல் 2-4 வாரங்களுக்கு செஃபிரியாக்ஸோன் அல்லது பென்சிலின் மருந்து கொடுக்கப்படுகிறது. சல்பாமெதாக்ஸ்ஸோல்-டிரிமெத்தோபிரிமின் மூலம் போன்ற நீண்ட நாள் ஆன்டி பயாடிக் மருந்துகளும் கொடுக்கப்படுகின்றன. 1-2 வாரங்களில் அதன் அறிகுறிகள் குறைய ஆரம்பிக்க தொடங்கி விடும்.

ஊட்டச்சத்து மாத்திரைகள்
இந்த விப்பிள் நோயால் ஊட்டச்சத்துகள் உறிஞ்சப்படுவது தடுக்கப்படுவதால் ஊட்டச்சத்துகளின் குறைபாடு ஏற்படும். அதற்கு விட்டமின்கள் மற்றும் மினரல்கள் போன்ற மாத்திரைகளையும் மருத்துவர்கள் பரிந்துரைக்கின்றனர்.

விளைவுகள்
சிறுகுடலின் சுவர் பாதிப்படைவதால் உண்ணும் உணவில் உள்ள ஊட்டச்சத்துகளை உறிஞ்சுவதில் பாதிப்பு ஏற்படுகிறது. எனவே ஊட்டச்சத்து குறைபாடு ஏற்படும். இந்த ஊட்டச்சத்து குறைப்பாட்டால் சோர்வு, பலவீனம், மூட்டு வலி, உடல் எடை இழப்பு ஏற்படும்.
இது தாயிடமிருந்து குழந்தைக்கும் பரவக் கூடிய நோயாகும். எனவே இதை ஆரம்பத்திலயே கண்டறிவது நல்லது. நோயின் தீவிரம் அதிகமானால் இறப்பு நேரிடும். தொற்றை அசால்ட்டாக விட்டால் அது நமது மத்திய நரம்பு மண்டலத்தையே பாதித்து விடும்.



Click it and Unblock the Notifications











