Latest Updates
-
கல்யாண வீட்டு தஞ்சை வத்தக்குழம்பு - எப்படி செய்றது-ன்னு பாத்து செஞ்சு பாருங்க.. டேஸ்ட் அள்ளும்.. -
World Kidney Day 2026: சிறுநீரகங்கள் ஆரோக்கியமா இருக்கணுமா? அப்ப டாக்டர் சொல்ற இந்த 5 உணவுகளை சாப்பிடுங்க.. -
ராகு-கேதுவால் உருவாகியுள்ள கால சர்ப்ப யோகம்: இந்த 3 ராசிக்கு மார்ச் 26 வரை வெற்றியும், பணமும் குவியப்போகுது... -
இந்த கஞ்சியை தினமும் காலையில் 1 கப் குடிங்க.. உடல் எடை ஜெட் வேகத்தில் குறையும்... -
இன்றைய ராசிபலன் 10 மார்ச் 2026: இன்று இந்த 4 ராசிக்காரர்களுக்கு துரதிர்ஷ்டம் துரத்தும் நாளாக இருக்குமாம்...! -
மீனத்தில் உருவாகும் திரிகிரக யோகம்: தனுசு உள்ளிட்ட 3 ராசிக்கு தொழிலில் நல்ல முன்னேற்றம் ஏற்படும்... -
முடி அதிகமா கொட்டுதா? அப்ப தேங்காய் எண்ணெயுடன் இந்த எண்ணெயை சேர்த்து யூஸ் பண்ணுங்க.. -
300 ஆண்டுக்கு பின் உருவாகும் சுக்ராதித்ய யோகம் 2026: இந்த 3 ராசிக்காரர்களுக்கு கோடீஸ்வர யோகம் தேடிவரப்போகுதாம் -
கொய்யாக்காய் வாங்குனா இந்த மாதிரி சட்னி அரைச்சு பாருங்க... இட்லி, தோசைக்கு வித்தியாசமா சூப்பரா இருக்கும்...! -
1 கப் ராகி மாவும், 1/2 கப் தேங்காயும் இருந்தா.. ஈவ்னிங் டைம்-ல இந்த ஸ்நாக்ஸை ட்ரை பண்ணுங்க..
வந்த தும்மலை வேண்டுமென்று அடக்கியதால் தொண்டை வெடித்தது... எதுக்கு இந்த வேலை?
வந்த தும்மலை தடுத்து நிறுத்தியதால் அறுவை சிகிச்சை செய்யும் நிலை ஏற்பட்டுள்ளதைப் பற்றி இந்த கட்டுரையில் விளக்கமாகப் பகிர்ந்து கொள்கிறோம். படித்து தெரிந்து கொள்ளுங்கள்.
உடலில் தானாக செயல்படும் சில செயல்களை நீங்கள் தடுக்கும் போது அதுவே நமது உயிருக்கு ஆபத்தாகி விடுகிறது. சும்மா வந்த தும்மலை தடுத்து நிறுத்தியதால் தொண்டையில் துளை ஏற்பட்ட அபாயம்.

அப்படி அந்த நாள் என்ன செய்தார் என்று தெரியுமா? தும்மலின் சக்தியை பரிசோதிக்க முயன்றதே இவ்வளவு பெரிய பிரச்சினைக்கு கொண்டு வந்து உள்ளது.

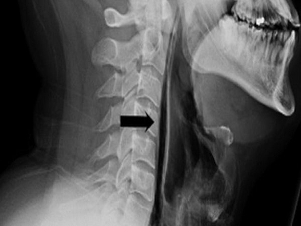
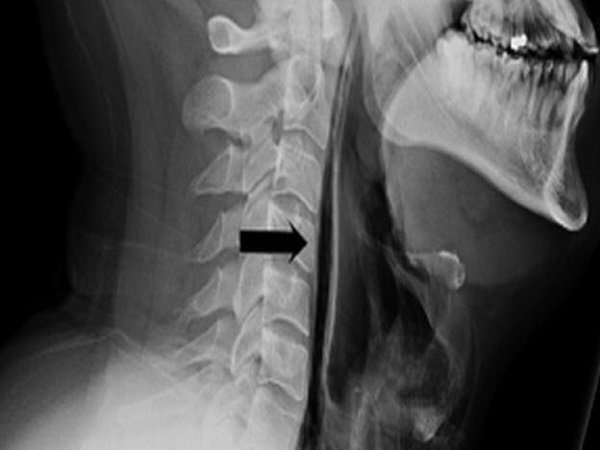
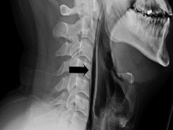
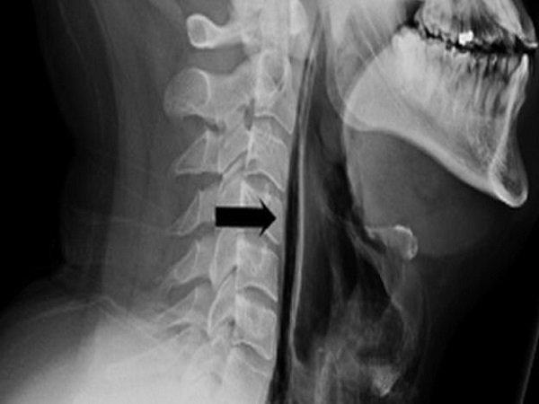
தும்மலை தடுக்க போய் ஏற்பட்ட நிலை
34 வயது ஒரு மனிதர் தன் தும்மலின் சக்தியை பார்க்க எண்ணி ரொம்ப நேரம் அடக்கி வைத்துள்ளார். இதனால் அவரது தொண்டையில் பெரும் சேதம் ஏற்பட்டு அதற்கு லெய்செஸ்டரில் உள்ள மருத்துவர்கள் சிகிச்சை அளித்து வருகின்றனர்.
தும்மலை கட்டுப்படுத்த போய் தொண்டையில் அதிக அழுத்தம் ஏற்பட்டு தொண்டையில் உள்ள மென்மையான திசுக்களை சிதைத்துள்ளது.
இப்படி அரிதாக நடந்த இந்த சம்பவம் மருத்துவர்களுக்கே ஆச்சர்யத்தை அளித்துள்ளது. மேலும் இது குறித்து மக்களுக்கு விழிப்புணர்வு வேண்டும் என்றும் அவர்கள் கூறுகின்றனர். தொண்டையில் அவருக்கு ஏற்பட்ட கடுமையான சேதம் மற்றவர்களுக்கு ஓர் எச்சரிக்கை என்று மருத்துவர்கள் கூறியுள்ளனர்.

இது குறித்து அந்த மனிதனின் கருத்து
வெளிப்படையாக அவர் இதை ஒரு மருத்துவ பத்திரிக்கையில் கூறியுள்ளார். தும்மலை நான் அடக்க முயன்று வாயை பொத்திக் கொண்டேன். இதனால் என் தொண்டை மற்றும் மூக்கில் அழுத்தம் அதிகமாகி கடுமையான வலி ஏற்பட்டது. அடக்கிய தும்மலின் சக்தி தொண்டையில் ஒரு ஓட்டையையே போட்டு விட்டது. இதற்கு பிறகு என்னால் பேசவோ, விழுங்கவோ முடியவில்லை.

தொண்டையில் அழுத்தம்
அது மட்டுமல்லாமல் தொண்டையில் ஏற்பட்ட துளை வழியாக நான் சுவாசிக்கும் காற்று செல்லும் போது ஒரு வெடிக்கும் சத்தமும் எனக்கு கேட்டது. மருத்துவர்கள் அவரை பரிசோதித்து இந்த வெட்டிக்கும் சத்தம் ஏர் பப்பிள்ஸ்களால் ஏற்படுகிறது என்பதையும் கண்டறிந்துள்ளனர். மேலும் மருத்துவர்கள் அவரது தொண்டையில் ஏற்பட்டுள்ள துளைக்கும் சிகிச்சை அளிக்க முற்பட்டுள்ளனர்.

இது தேவையா?
இதற்காக ஒரு நீட்டமான குழாயை அவரது வாயின் வழியே விட்டு அதன் வழியாக உணவு, ஆன்டி பாயோடிக்ஸ் மருந்துகள் செலுத்தப்பட்டது. ஒரு வார காலமாக அவருக்கு சிகிச்சை அளிக்கப்பட்டு உள்ளது. மேலும் இனி மேல் தும்மல் வந்தால் அடக்க கூடாது என்றும் அவருக்கு எச்சரிக்கை செய்து மருத்துவர்கள் அனுப்பி உள்ளனர்.
நம்ம மக்களும் இனிமேலாவது இப்படி தும்மல் கிம்மல் வந்தா அடக்காதிங்கோ. அது பாட்டுக்கு வந்துட்டு போகுது. இந்த நிகழ்வு நம்மளுக்கு ஒரு எச்சரிக்கை



Click it and Unblock the Notifications











