Latest Updates
-
இந்த 4 ராசிக்காரங்க உயிரை கொடுத்தாவது குடும்பத்தை பாதுகாக்கும் ரியல் ஹீரோவாக இருப்பார்களாம்...உங்க ராசி என்ன? -
இந்த கஞ்சியை தினமும் காலையில் 1 கப் குடிங்க.. தொப்பையும், உடல் எடையும் இருமடங்கு வேகத்துல குறையும்.. -
இன்றைய ராசிபலன் 07 மார்ச் 2026: இன்று இந்த 4 ராசிக்காரங்களுக்கு ஆரோக்கிய பிரச்சினை ஏற்பட வாய்ப்பிருக்காம்...! -
சனிப்பெயர்ச்சி 2026: இந்த 5 ராசிக்காரங்க ரொம்ப ரொம்ப கவனமாக இருக்கணுமாம்... உங்க ராசி இதுல இருக்கா? -
சுரைக்காயை இந்த மாதிரி பச்சடி செஞ்சு பாருங்க... இட்லி, தோசை, சாதம் எல்லாத்துக்குமே டக்கரான சைடிஷா இருக்கும்... -
'நிறங்களின் ராஜா' என்று அழைக்கப்படும் நிறம் எது தெரியுமா? உங்களுக்கு இந்த கலர் பிடிக்குமானு சொல்லுங்க...! -
தஞ்சாவூர் கல்யாண சாம்பார் ரெசிபி... இந்த மாதிரி சாம்பார் வைச்சு பாருங்க... வீட்ல எல்லாரும் ஊத்தி குடிப்பாங்க.. -
'சீனாவின் நோஸ்ட்ரடாமஸ்' கணிப்பின் படி அமெரிக்க-ஈரான் போரில் ஜெயிக்கப் போவது யார்? போர் இப்படித்தான் முடியுமாம் -
கவலையற்ற ஆன்மாவாக எப்போதும் மகிழ்ச்சியாக வாழ பிறந்த 4 ராசிகள் இவங்கதான்... உங்க ராசி இதுல இருக்கா? -
4 முட்டை இருந்தா இந்த முகலாய முட்டை குருமாவை செஞ்சு பாருங்க... பைவ் ஸ்டார் ஹோட்டலில் சாப்பிட மாதிரி இருக்கும்!
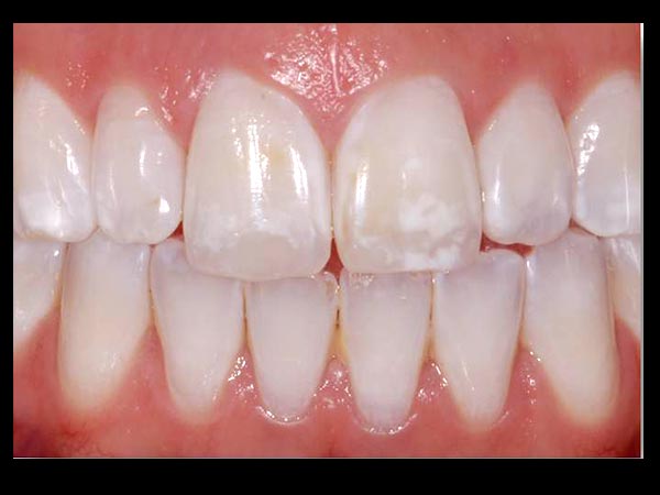
பற்களின் மேலுள்ள வெள்ளை திட்டுகளை போக்கும் வீட்டு வைத்தியங்கள்..!
நமது அழகான சிரிப்பு தான் நம்மை சிறந்த முறையில் அடையாளம் காட்டும். ஆனால், இந்த சிரிப்பு சற்றே மோசமானதாக சில நேரங்களில் மாறி விடுகிறது. குறிப்பாக நமது பற்கள் தான் நமது சிரிப்பை மிக பிரகாசமானதாக சுட்டி காட்டும். இந்த பற்கள் மஞ்சளாகவோ, வெள்ளை படிந்த திட்டுகள் போன்றோ, கருப்பாகவோ, சொத்தைகள் கொண்டோ இருந்தால் அவ்வளவு தான்.

இது நமது முழு அழகையும் பாதிக்க கூடிய ஒன்றாகத்தான் கருதப்படுகிறது. குறிப்பாக பற்களின் முன்பகுதியில் இது போன்று இருப்பது தான் இந்த மோசமான பாதிப்புக்கு காரணம். வாங்க, பற்களில் உள்ள வெள்ளை திட்டுகளை அகற்றும் வீட்டு வைத்தியத்தை இனி தெரிந்து கொள்வோம்.

நினைப்பதை சொல்லும் பற்கள்..!
நமது புன்னகை தான் நாம் எத்தகைய மகிழ்வுடன் இருக்கின்றோம் என்பதை குறிக்கும். இந்த புன்னகையை வெளிக்காட்டும் முக்கிய பங்கு பற்களுக்கு உள்ளது. பற்களில் வெள்ளை திட்டுகள் போன்று இருந்தால் அதற்கு காரணம் எனாமல் பாதிக்கப்பட்டுள்ளது என்பதே. மேலும், பற்களில் தாதுக்கள் குறைவாக இருந்தாலும், வறட்சி, அமில தன்மை அதிகரித்தல் ஆகியவற்றாலும் இவை உருவாகிறது.

இந்த எண்ணெய் போதுங்க..!
பொதுவாக எண்ணெய்யை கொண்டு வாய் கொப்பளித்தால் அது பலவித பயன்களை நமக்கு தரும். குறிப்பாக தேங்காய் எண்ணெய் அல்லது ஆலிவ் எண்ணெய் மிக சிறந்த மருந்தாக வேலை செய்யும். தினமும் 10 நிமிடம் 2 ஸ்பூன் இந்த எண்ணெய்யை பயன்படுத்தி வாய் கொப்பளித்தால் வெள்ளை திட்டுகளை எளிதாக அகற்றி விடலாம்.

எலுமிச்சை வைத்தியம்
மிக விரைவிலே இந்த வெள்ளை திட்டுகளை நீக்க இந்த குறிப்பு நன்கு உதவும். 1 ஸ்பூன் எலுமிச்சை சாற்றுடன் சிறிது உப்பு கலந்து பற்களில் தேய்த்தால் வெள்ளை திட்டுகள் மறையும். இதற்கு காரணம் இதிலுள்ள சிட்ரிக் அமிலம் தான். அத்துடன் வாய் துர்நாற்றத்தையும் இது குணப்படுத்த கூடும்.

முட்டை வைத்தியம் தெரியுமா..?
உங்கள் பற்களை அழகாக மாற்ற இந்த குறிப்பு உதவும். இதற்கு தேவையானவை...
முட்டை ஓடு 12
பேக்கிங் சோடா 1 ஸ்பூன்
தேங்காய் எண்ணெய் 3 ஸ்பூன்

செய்முறை :-
முதலில் முட்டையின் ஓடை நீரில் கொதிக்க வைத்து, பிறகு காய வைத்து அரைத்து கொள்ளவும். இந்த கலவையுடன் பேக்கிங் சோடா மற்றும் தேங்காய் எண்ணெய் சேர்த்து நன்றாக கலந்து கொள்ளவும். இதனை பயன்படுத்தி தினமும் பல் துலக்கினால் வெள்ளை திட்டுகள் நீங்கி விடும்.

கால்சியம் கொண்ட உணவுகள்
பற்களில் இது போன்று வெள்ளை திட்டுகள் வருவதற்கு தாதுக்கள் குறைபாடும் ஒரு முக்கிய காரணம். குறிப்பாக கால்சியம் குறைபாடு தான். எனவே பால், யோகவர்ட் போன்றவற்றையும், மெக்னீசியம் நிறைந்த மீன், நட்ஸ்கள், பச்சை கீரைகள் போன்றவற்றையும் உணவில் அதிக அளவில் சேர்த்து கொள்ள வேண்டும்.

மஞ்சள் செய்யும் மாயம்..!
1/2 ஸ்பூன் மஞ்சளை எடுத்து கொண்டு அவற்றுடன் 1/2 ஸ்பூன் எலுமிச்சை சாறு, சிறிது உப்பு சேர்த்து நன்கு கலந்து கொள்ளவும். இந்த கலவையை பயன்படுத்தி பல் துலக்கினால் விரைவிலே வெள்ளை திட்டுகள் மறைந்து, அழகான பற்கள் உங்களுக்கு கிடைக்கும்.

2-யை மறவாதீர்கள்..!
நமது பற்கள் அதிக ஆரோக்கியாயத்துடன் இருக்க வேண்டுமென்றால் நிச்சயமாக நீங்கள் தினமும் 2 வேளை பல் துலக்க வேண்டும்.
இல்லையென்றால் உங்களின் பற்கள் பலவித பாதிப்புகளை சந்திக்க நேரிடும். மேலும், சொத்தை, வெள்ளை திட்டுகள், மஞ்சள் பற்கள் போன்றவையும் ஏற்ப்பட கூடும்.



Click it and Unblock the Notifications











